الكيساتُ العظميَّة الأُمْ دمِّيَّة في المعصم
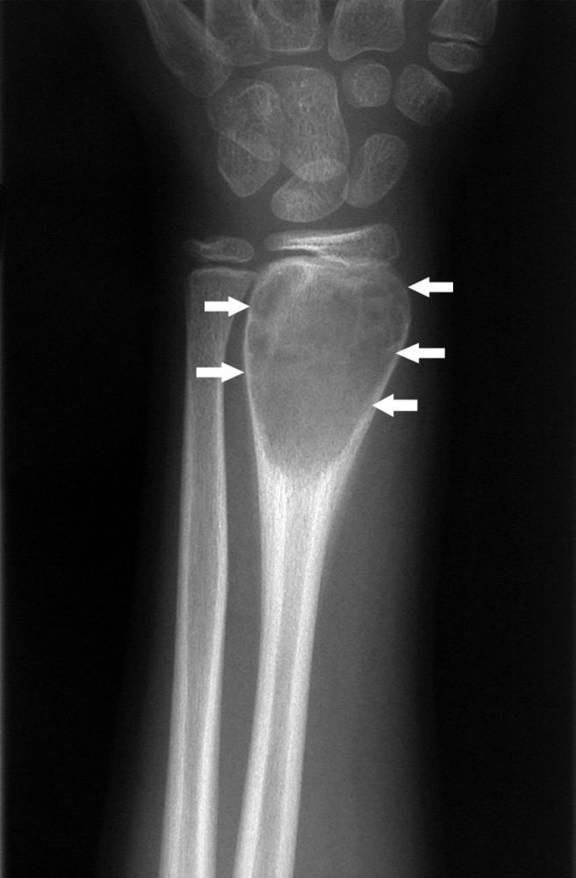
تُظهر هذه الصورة الشعاعية لمعصم اليد كيسة عظمية أُم دميّة (اتجاه الأسهم).
جرى استخدام الصورة بعد موافقة أصحابها Michael J.Joyce, MD, and Hakan Ilaslan, MD.
في هذه الموضوعات
تُظهر هذه الصورة الشعاعية لمعصم اليد كيسة عظمية أُم دميّة (اتجاه الأسهم).
جرى استخدام الصورة بعد موافقة أصحابها Michael J.Joyce, MD, and Hakan Ilaslan, MD.