الكسر في منتصف عظم الفخذ
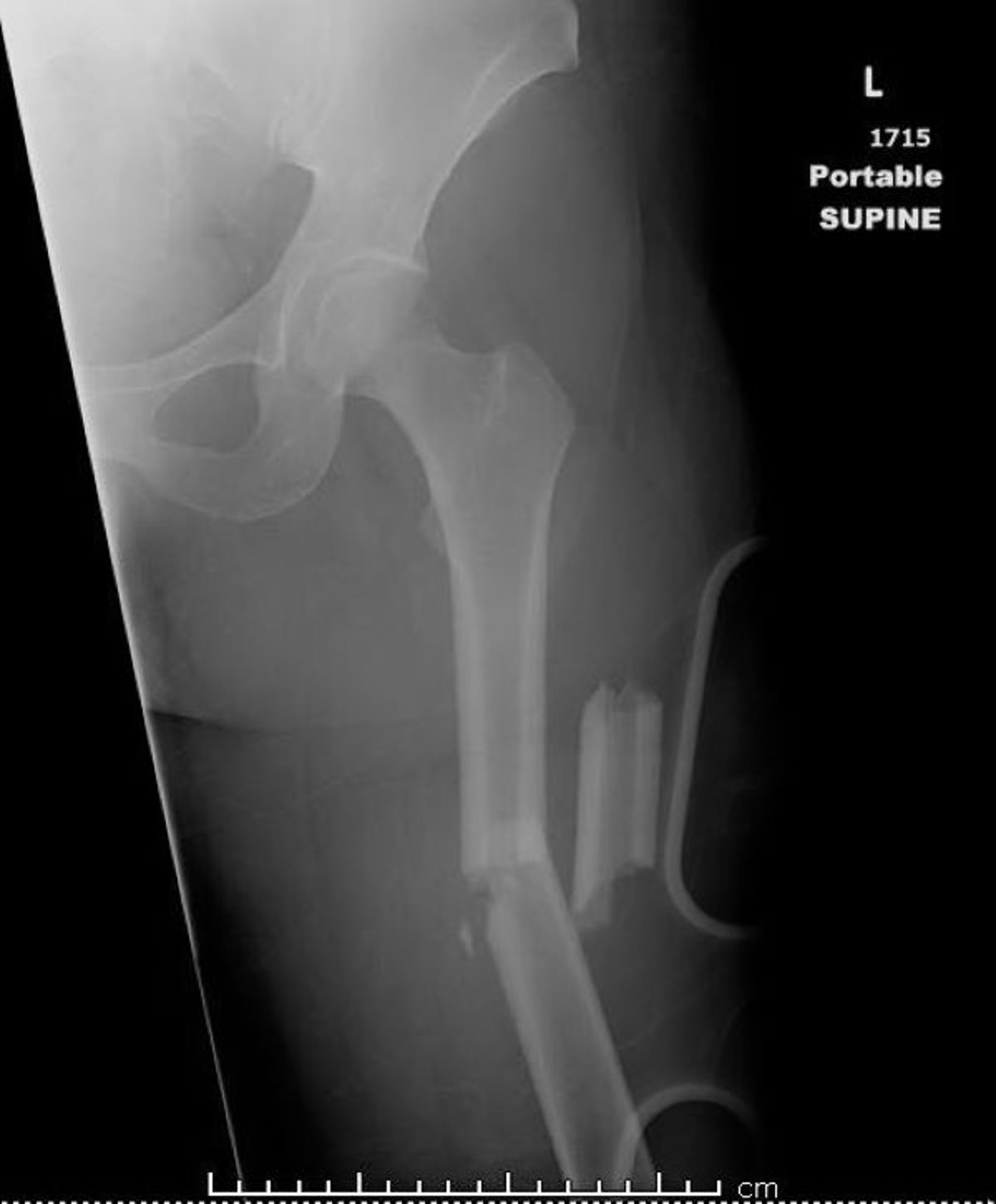
تُظهر هذه الصورة عظم الفخذ مكسورًا في أكثر من مكانين (كسر متفتت).
جرى استخدام الصورة بعد موافقة أصحابها Danielle Campagne, MD.
في هذه الموضوعات
تُظهر هذه الصورة عظم الفخذ مكسورًا في أكثر من مكانين (كسر متفتت).
جرى استخدام الصورة بعد موافقة أصحابها Danielle Campagne, MD.