honeypot link
skip to main content
أدلة MSD
إصدار المُستخدِم
موضوعات صحية
الحياة الصحية
الأعراض
الحالات الطارئة
الموارد
التعليق
حول
موضوعات صحية
الحياة الصحية
<
الصور
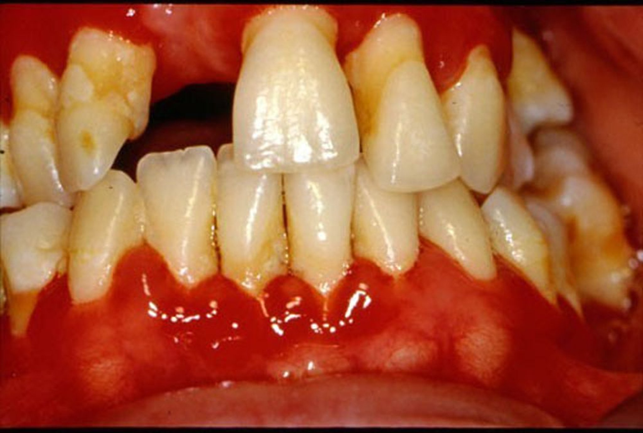
التهاب اللثة
يُسبب التهاب اللثة احمرارًا وتورمًا فيها.
Image provided by Jonathan A.Ship, DMD.
في هذه الموضوعات
التهاب اللثة
>
حقائق سريعة: التهاب اللثة
>