Рецидивуюча аспергілома
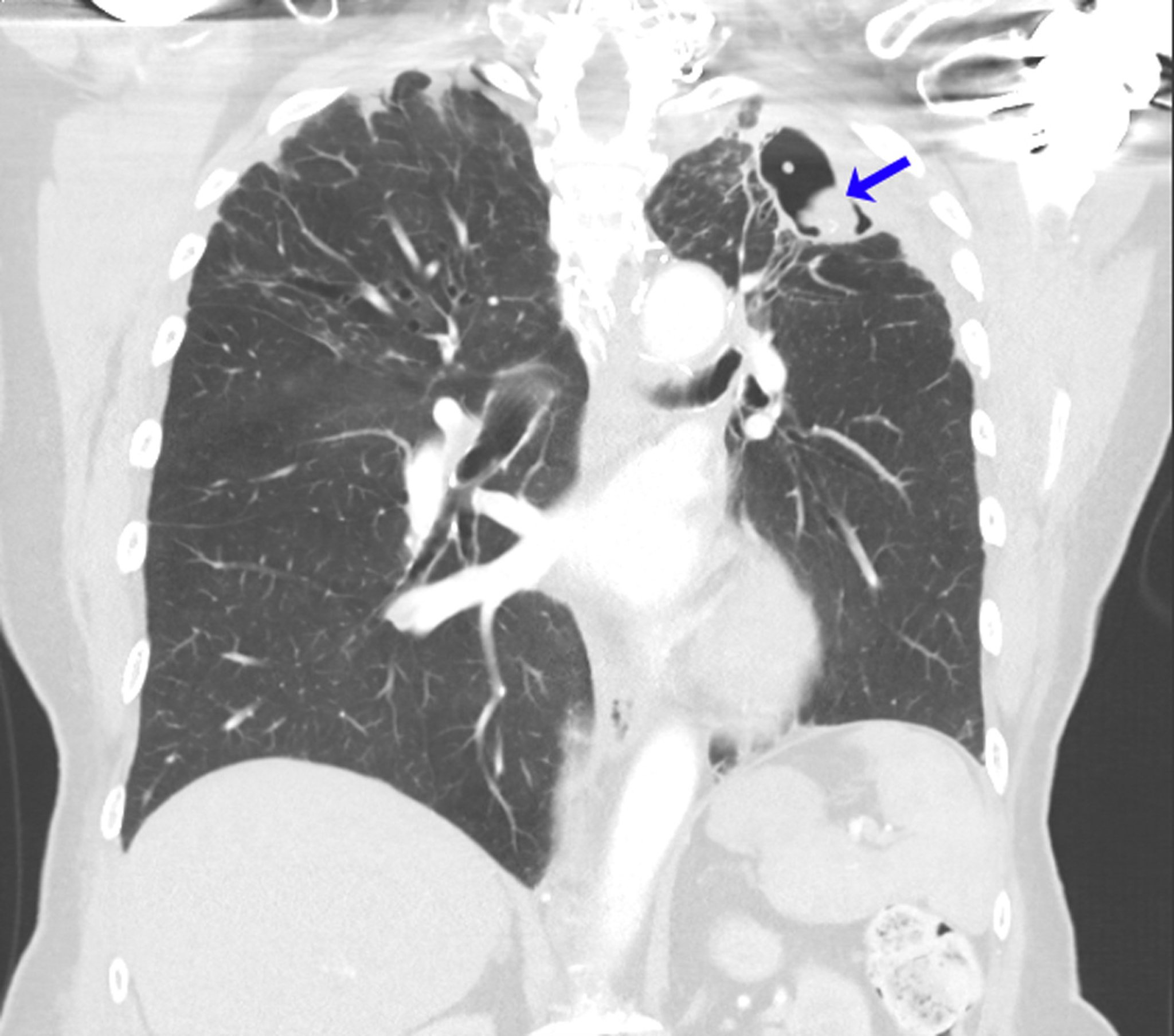
This CT scan shows the lungs of a person with a history of allergic bronchopulmonary aspergillosis in the setting of asthma. After left upper lobectomy for aspergilloma, recurrent mycetoma developed at the left lung apex (arrow).
Image courtesy of Paschalis Vergidis, MD, MSc.
Серед цих тем
