Остеосаркома
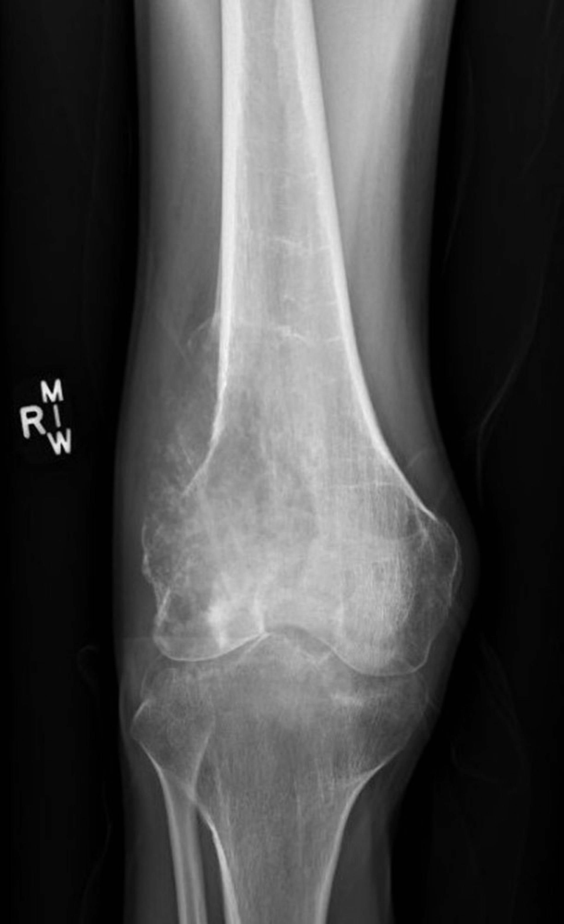
This radiograph of the knee shows a destructive osteosarcoma in the femur above the knee with a lytic destructive appearance and a classic Codman's triangle showing pathologic periosteal elevation.
Image courtesy of Lukas Nystrom, MD.
Серед цих тем
