honeypot link
skip to main content
MSD Довідник
версія для фахівців
МЕДИЧНІ ТЕМИ (УКРАЇНСЬКИЙ)
МЕДИЧНІ ТЕМИ (YCI)
РЕСУРСИ
ПРОЦЕДУРИ
ПРО
МЕДИЧНІ ТЕМИ (УКРАЇНСЬКИЙ)
<
ЗОБРАЖЕННЯ
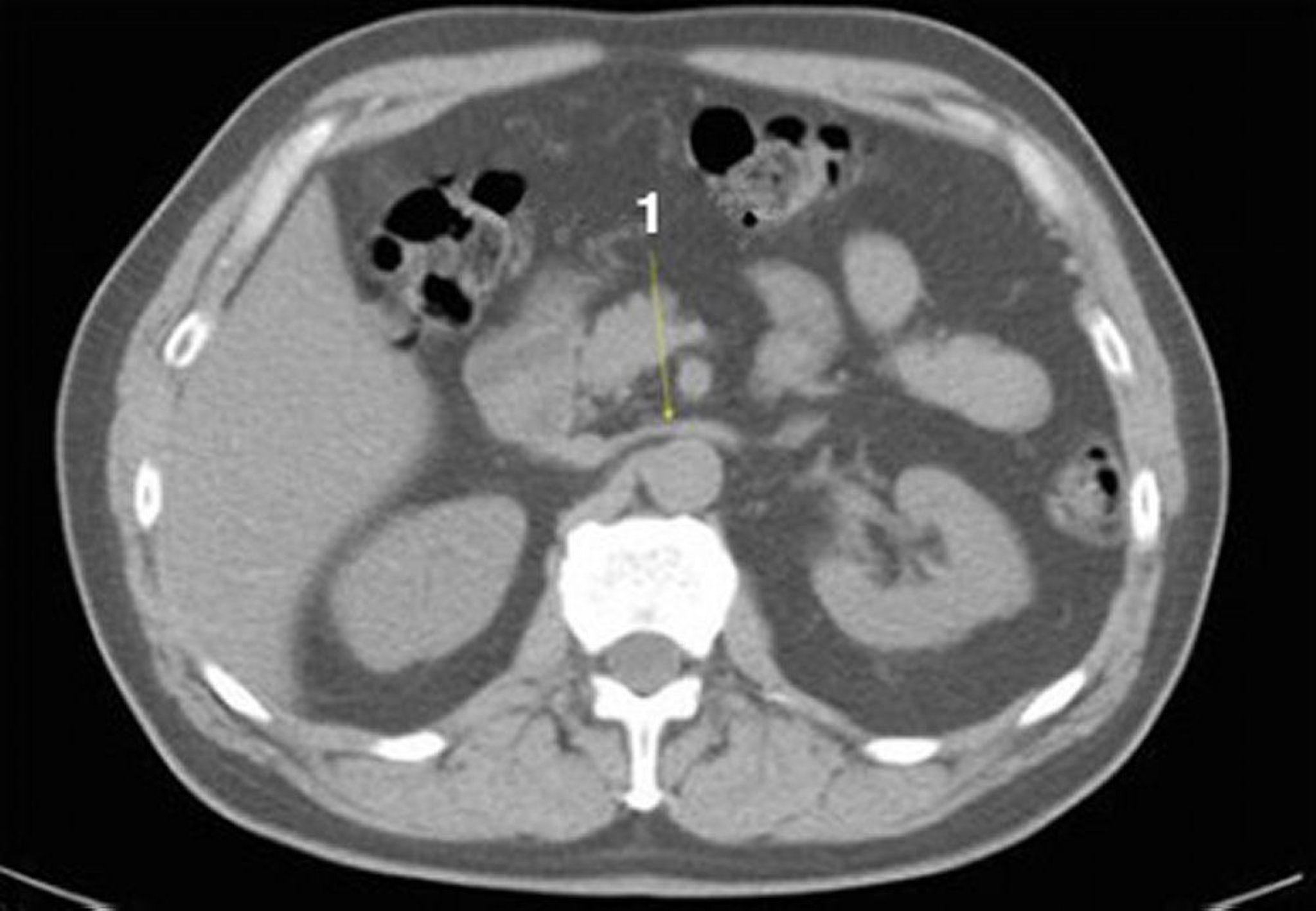
КТ органів черевної порожнини та малого тазу без контрастування, що демонструє нормальну анатомічну картину (слайд 12)
1 = left renal vein.
© Springer Science+Business Media
Серед цих тем
Обстеження пацієнта із шлунково-кишковою патологією
>