Хвороба мінімальних змін
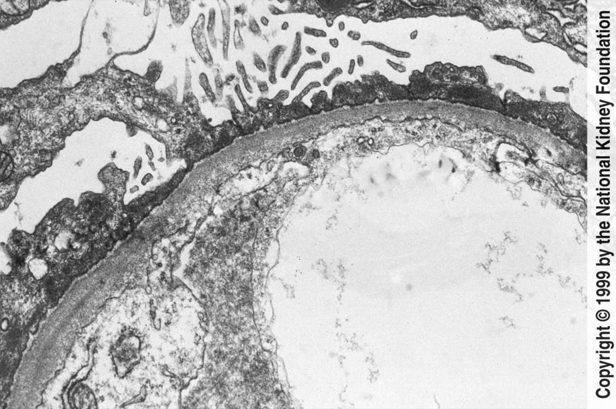
Diffuse effacement of foot processes can be seen on transmission electron microscopy (×800).
Image provided by Agnes Fogo, MD, and the American Journal of Kidney Diseases' Atlas of Renal Pathology (see www.ajkd.org).
Серед цих тем
