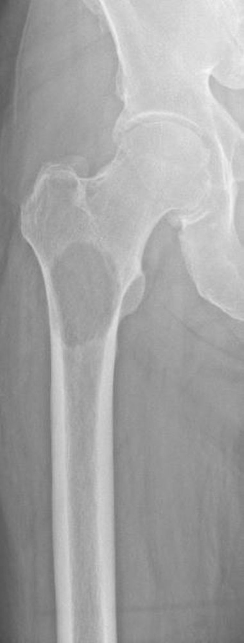
Літичний метастаз проксимального відділу стегнової кістки
This image shows bone destruction due to a metastasis secondary to renal cell carcinoma in the proximal femur. The location and extent of bone destruction make the risk of fracture extremely high (impending fracture).
Image courtesy of Michael J. Joyce, MD, and David M. Joyce, MD.
Серед цих тем
