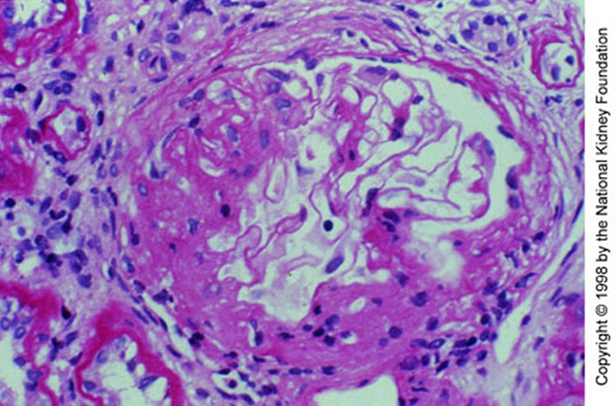
IgA-нефропатія (Мезангіальне поширення)
Mesangial expansion with segmental sclerosis (periodic acid-Schiff stain, ×200).
Image provided by Agnes Fogo, MD, and the American Journal of Kidney Diseases' Atlas of Renal Pathology (see www.ajkd.org).
Серед цих тем
