КТ полікістозних нирок (аксіальна проекція)
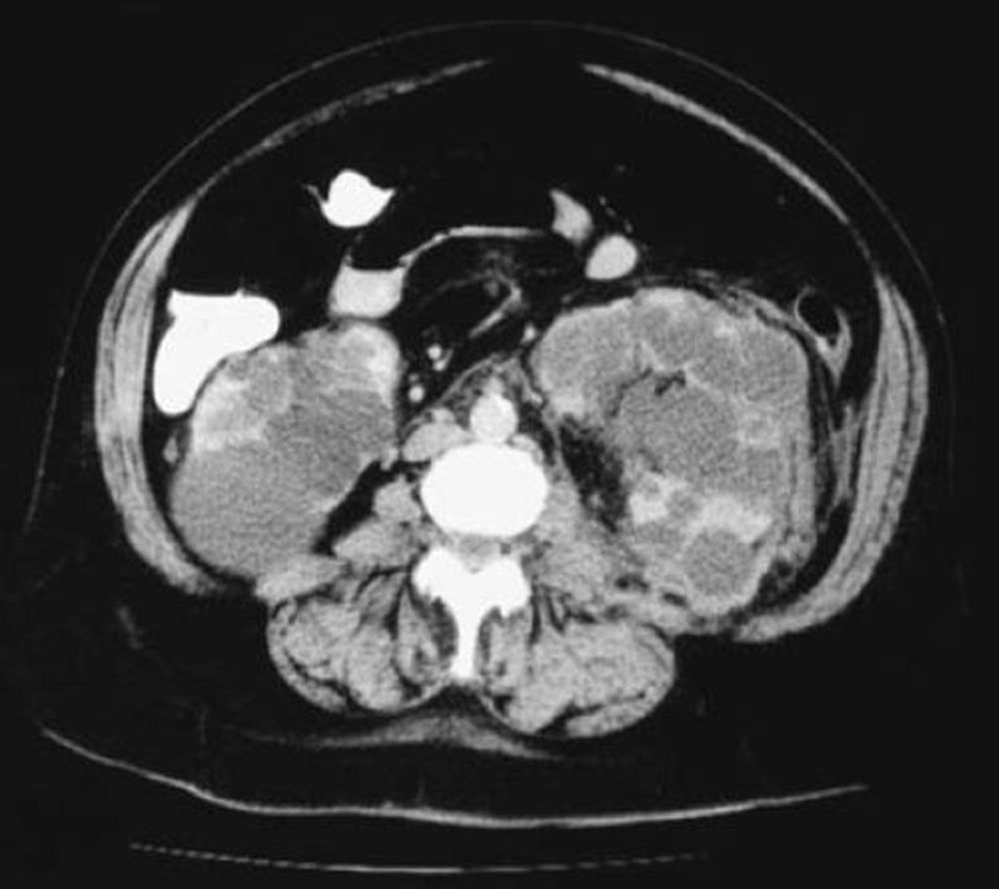
This CT scan of the kidneys shows numerous cysts varying in size. Little renal parenchyma is left.
© Springer Science+Business Media
Серед цих тем
This CT scan of the kidneys shows numerous cysts varying in size. Little renal parenchyma is left.
© Springer Science+Business Media