Chronic Obstructive Pulmonary Disease (Chest Radiograph)
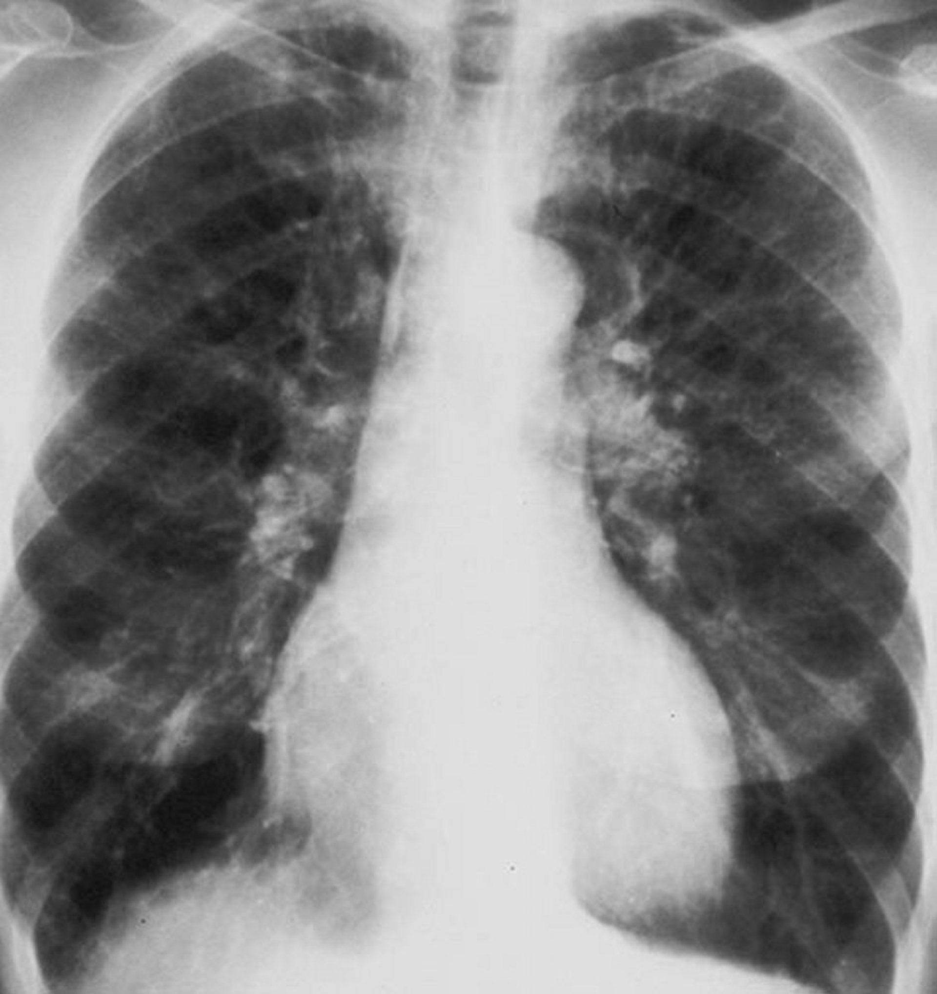
Chest radiograph of a patient with chronic obstructive pulmonary disease (COPD). The lungs are hyperinflated, the diaphragm is flattened, vascular markings are increased, and the heart size is marginally increased.
By permission of the publisher. From Barnes P. In Bone's Atlas of Pulmonary and Critical Care Medicine. Edited by J Crapo. Philadelphia, Current Medicine, 2005.
Серед цих тем
