Хондроміксоїдна фіброма
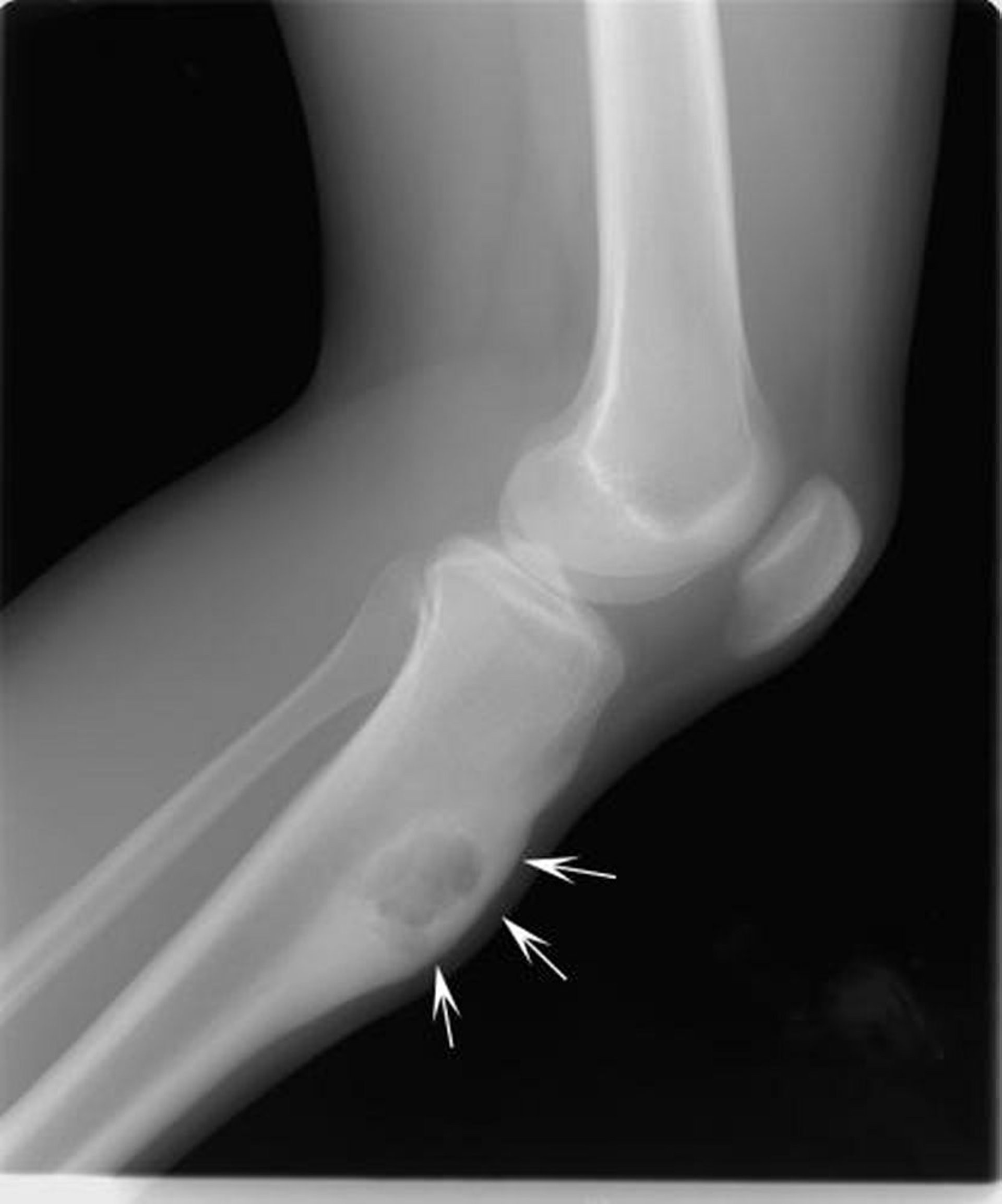
This radiograph of the knee shows a chondromyxoid fibroma in the tibia below the knee (arrows), expanding the bone in the front.
Image courtesy of Michael J. Joyce, MD, and Hakan Ilaslan, MD.
Серед цих тем
This radiograph of the knee shows a chondromyxoid fibroma in the tibia below the knee (arrows), expanding the bone in the front.
Image courtesy of Michael J. Joyce, MD, and Hakan Ilaslan, MD.