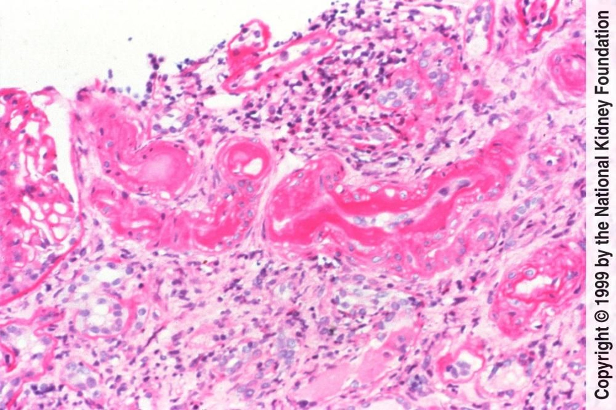
Benign Hypertensive Arteriolar Nephrosclerosis
Benign hypertensive arteriolar nephrosclerosis is characterized histologically by arteriolar hyalinosis caused by insudation of plasma proteins and medial thickening caused by both hypertrophy and hyperplasia of vascular smooth muscle cells (periodic acid-Schiff stain, × 200).
Image provided by Agnes Fogo, MD, and the American Journal of Kidney Diseases' Atlas of Renal Pathology (see www.ajkd.org).
Серед цих тем
