Ankle Sprain With Instability
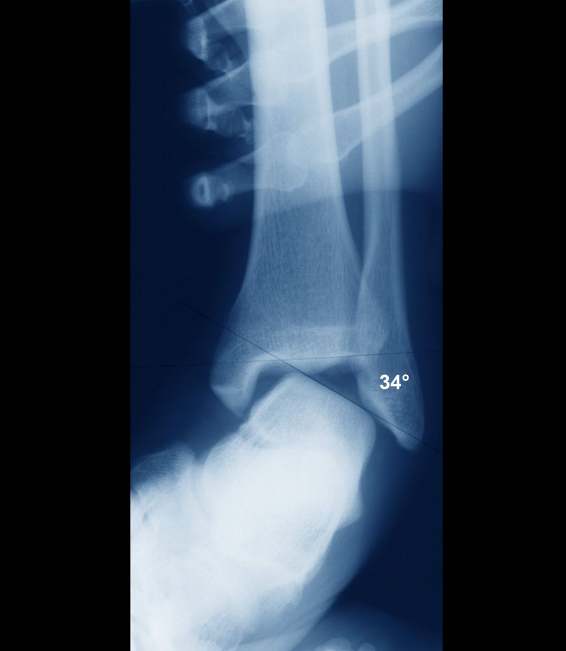
If the ankle is stable, the intra-articular surfaces of the talus and tibia should be parallel. Here, they are widely misaligned, indicating gross joint instability. Instability would have been clearly evident clinically, and instability is normally assessed clinically without need for radiographs.
ZEPHYR/SCIENCE PHOTO LIBRARY
Серед цих тем
