Синдром Альпорта (Спадковий нефрит)
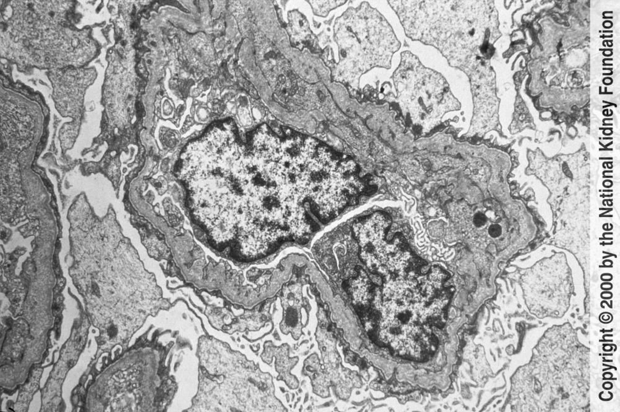
Glomerular basement membranes show irregular thinning and thickening with a lamellated basket-weave appearance under transmission electron microscopy. The changes are caused by injury and remodeling (×6000).
Image provided by Agnes Fogo, MD, and the American Journal of Kidney Diseases' Atlas of Renal Pathology (see www.ajkd.org).
Серед цих тем
