Тяжелая пневмония
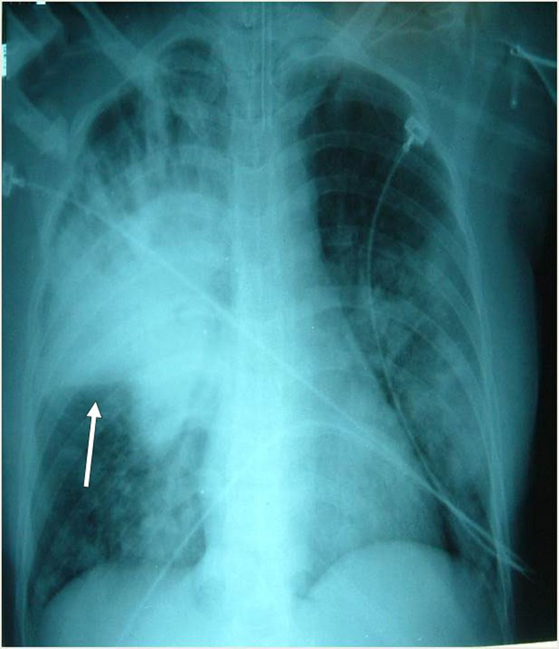
У таких интубированных пациентов наблюдаются множественные двусторонние инфильтраты, наиболее заметные в правой верхней доле. Стрелка указывает на правую горизонтальную щель.
Photo courtesy of Thomas M. File, Jr., MD MSc MACP FIDSA FCCP.
По этим темам
