Субдуральная гематома
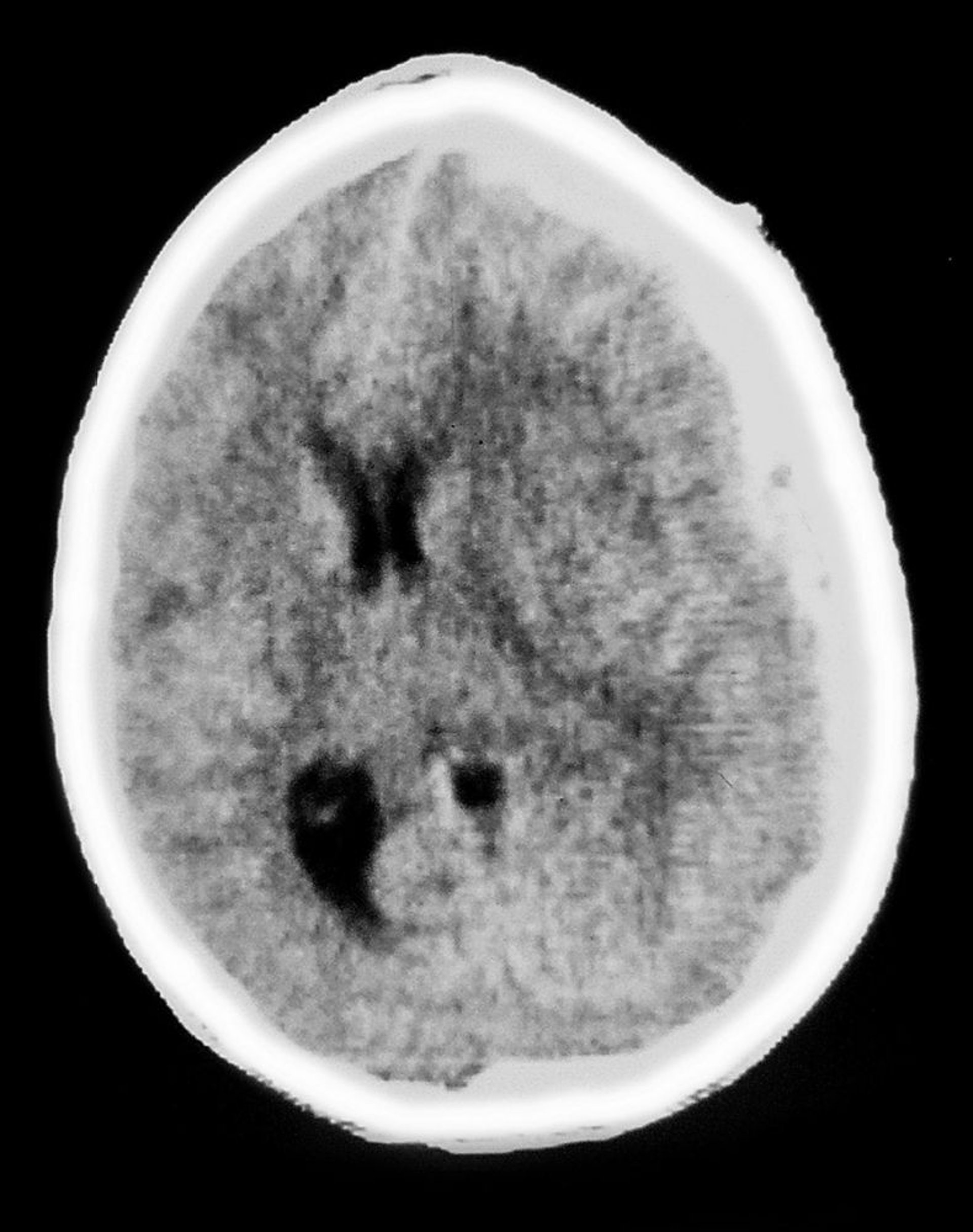
Это КТ сканирование показывает непрозрачные, характерные для субдуральной гематомы участки в форме полумесяца, покрывающие ткань мозга. Также выражен масс-эффект со сжатием желудочков и смещением средней линии.
Cavallini James/BSIP/SCIENCE PHOTO LIBRARY
По этим темам
