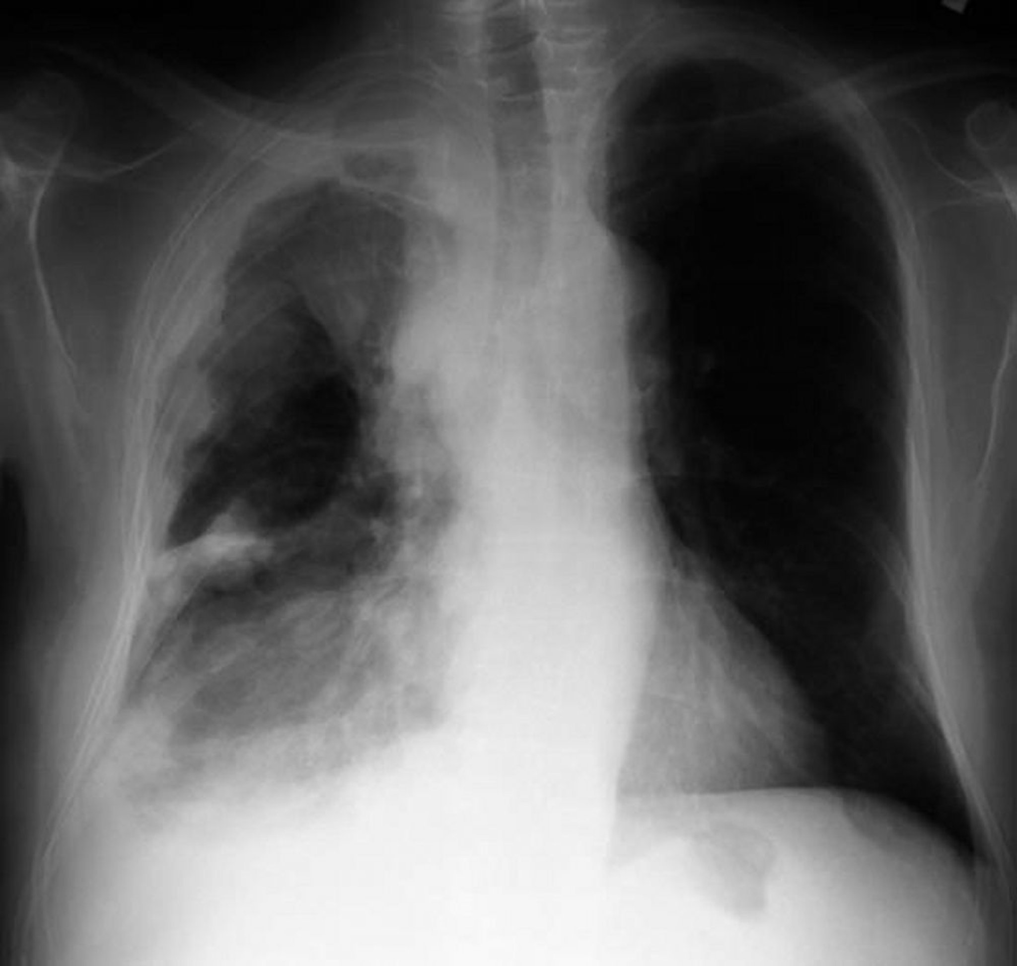
Мезотелиома плевры
Рентгенограмма грудной клетки у пациента с мезотелиомой плевры показывает утолщение плевры с узловыми образованиями на париетальной плевре.
By permission of the publisher. From Huggins J, Sahn S. In Bone's Atlas of Pulmonary and Critical Care Medicine. Edited by J Crapo. Philadelphia, Current Medicine, 2005.
По этим темам
