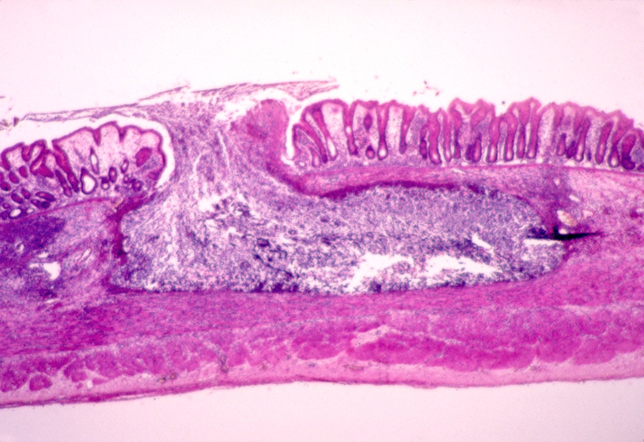
Колбовидная язва при амебиазе
На этой микрофотографии показаны гистопатологические изменения, вызванные кишечной амебиазной инфекцией. Обратите внимание на морфологическую форму этой типичной колбообразной язвы слизистой оболочки кишечника.
Image courtesy of CDC/Dr. Mae Melvin via the Public Health Image Library of the Centers for Disease Control and Prevention.
По этим темам
