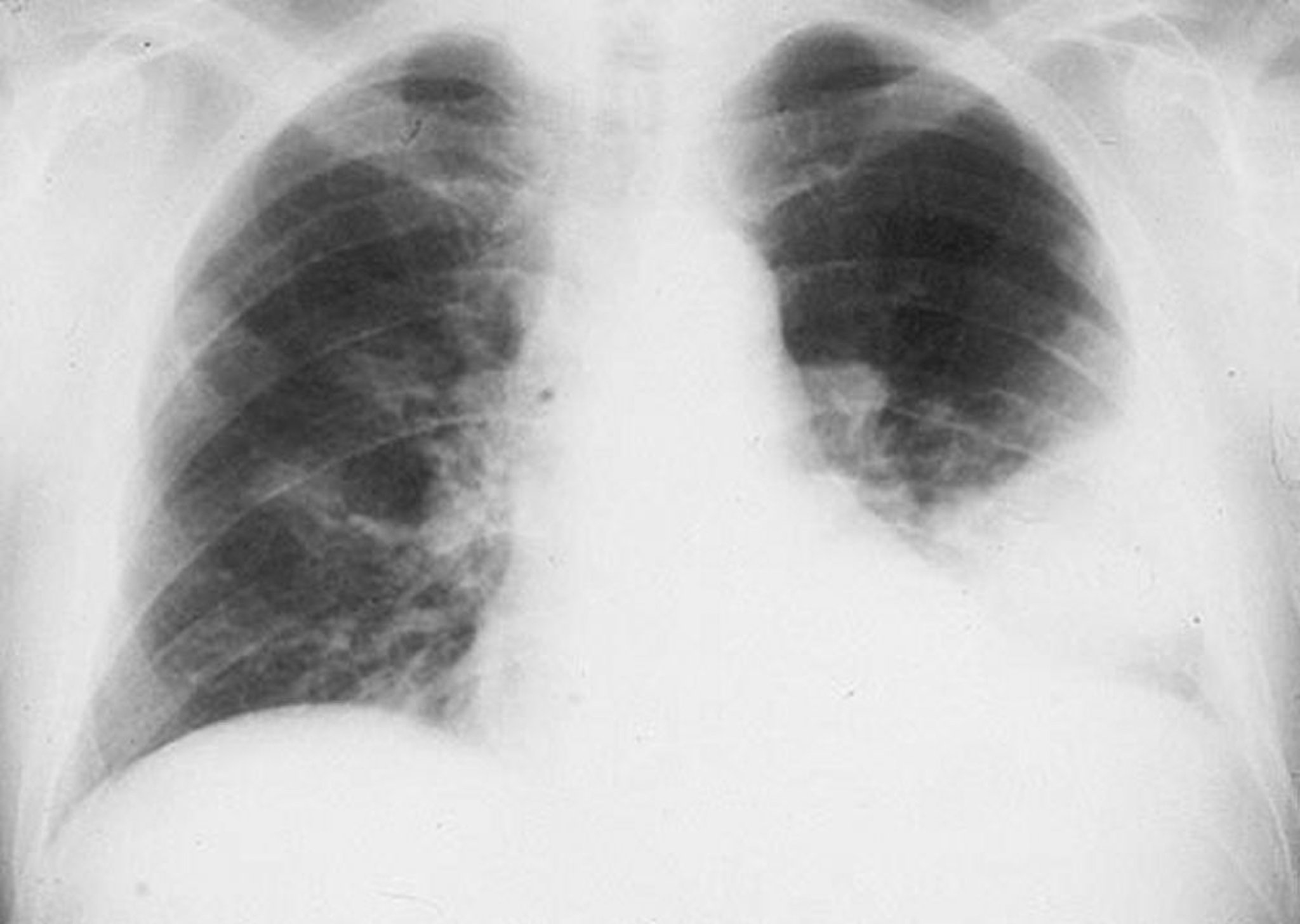
Инфильтрат нижней доли левого легкого
Альвеолярный инфильтрат в нижней доле левого легкого у пациента с бактериальной пневмонией.
By permission of the publisher. Из Roberts R. In Atlas of Infectious Diseases: Pleuropulmonary and Bronchial Infections. Edited by GL Mandell (series editor) and MS Simberkoff. Philadelphia, Current Medicine, 1996.
По этим темам
