Интерстициальная болезнь легких (КТ органов грудной клетки)
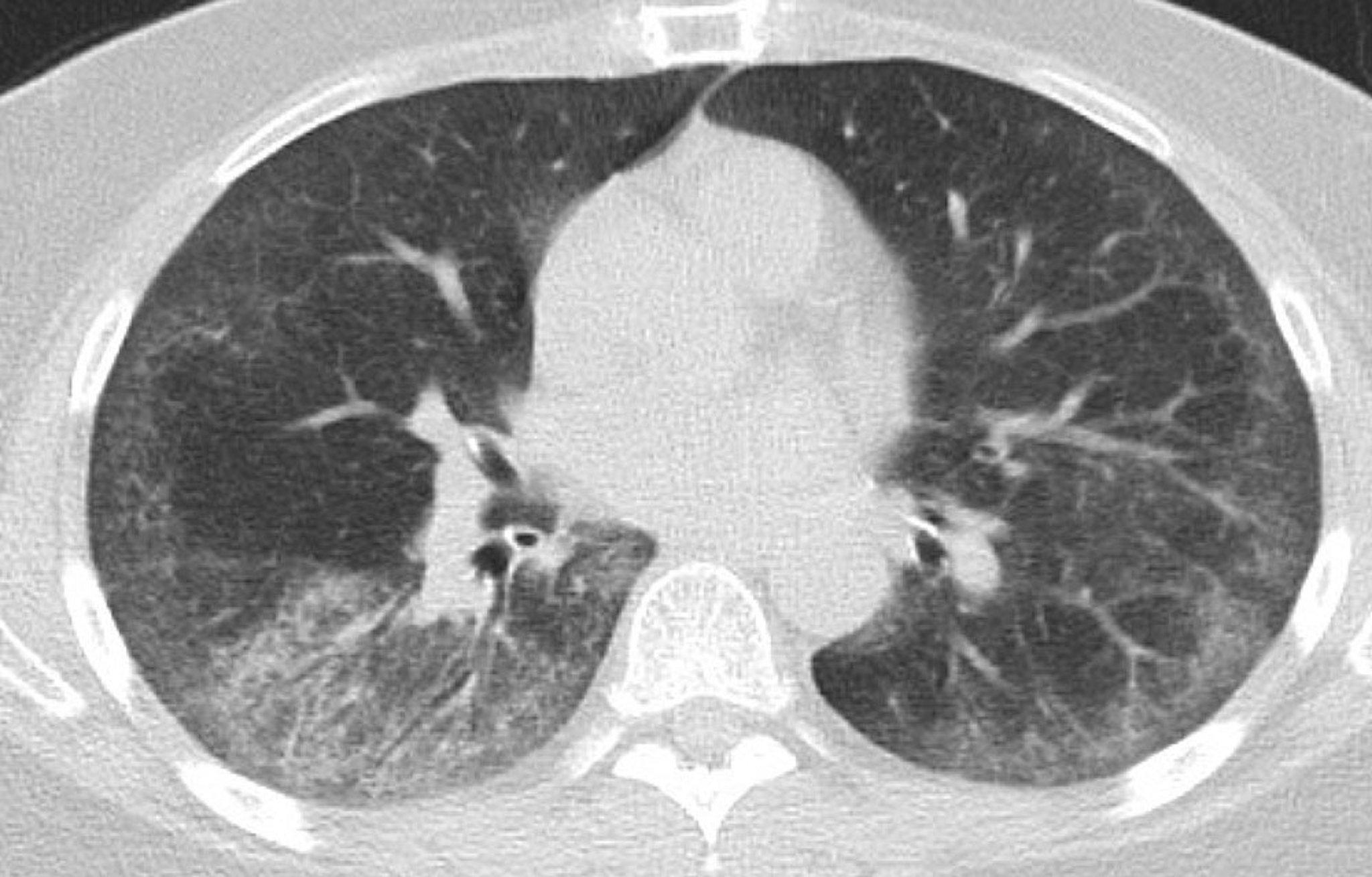
На данном КТ-скане показаны симметричные затемнения обеих нижних долей по типу матового стекла с участками тонкой субплевральной ретикуляции; умеренная тракционная бронхоэктазия в обоих легких с субплевральным сохранением; и несколько рассеянных грудных лимфатических узлов.
Photo courtesy of Kinanah Yaseen, MD.
По этим темам
