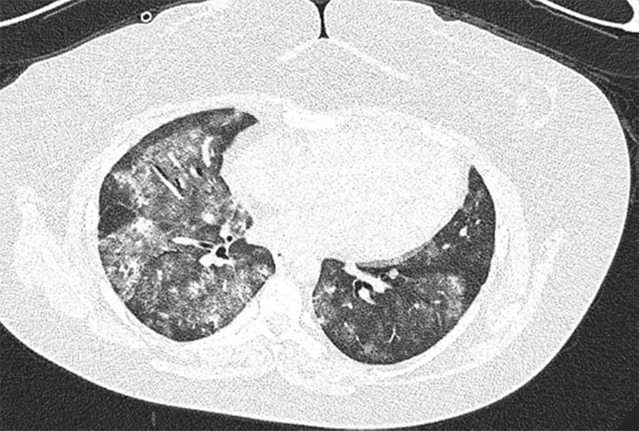
Диффузное альвеолярное кровотечение
КТ-скан высокого разрешения 28-летней женщины с антифосфолипидным синдромом с рецидивирующим диффузным альвеолярным кровотечением. Изображение показывает двусторонние и очаговые уплотнения в альвеолах по типу матового стекла, с сохранностью в субплевральной зоне. Бронхоальвеолярный лаваж подтверждает альвеолярное кровотечение.
Image courtesy of Joyce Lee, MD.
По этим темам
