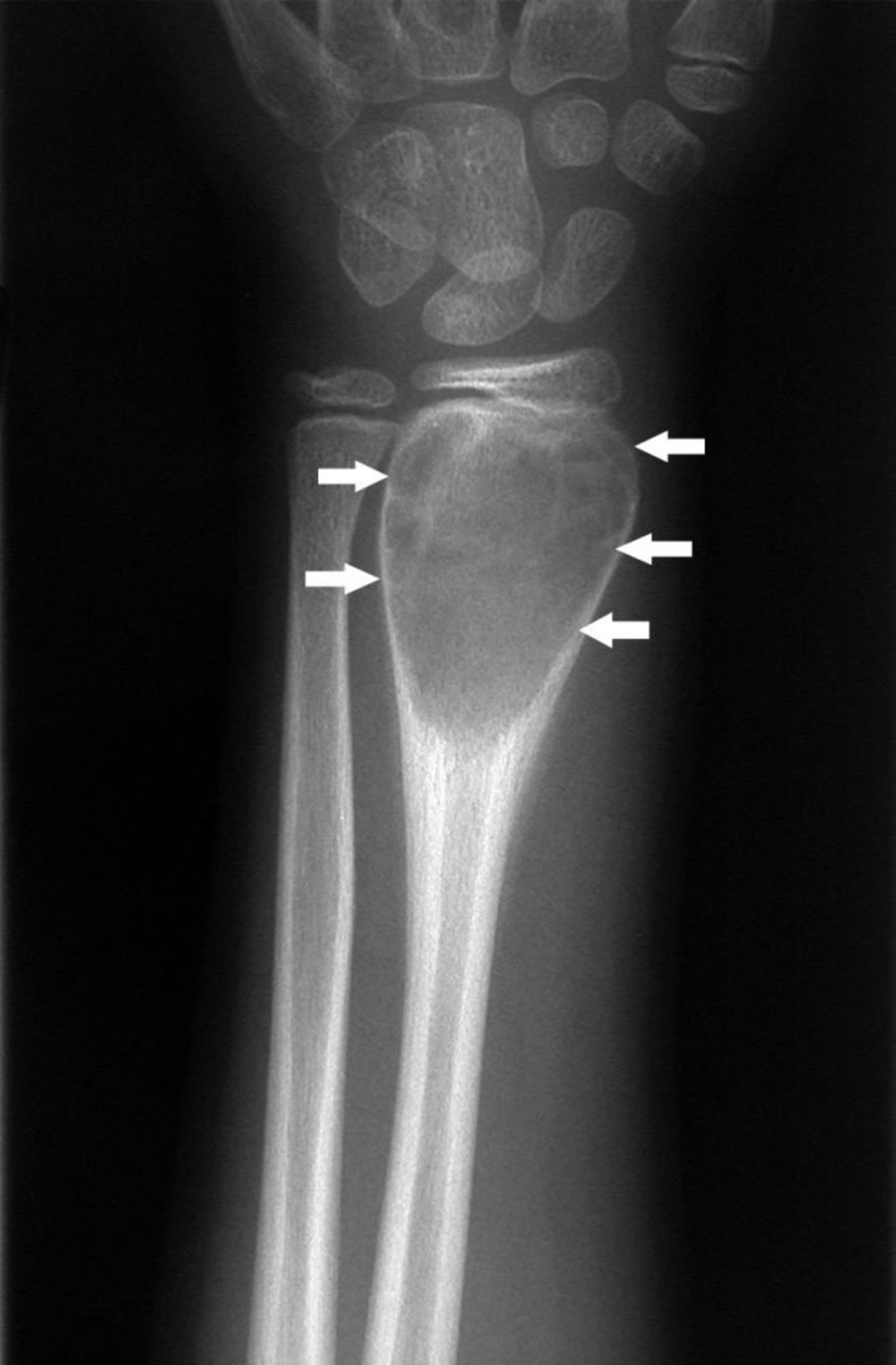
Аневризматическая костная киста запястья
На этом рентгеновском снимке запястья показано периостальное образование новой кости вокруг экспансивного поражения (стрелки), что является характерным для аневризмальной костной кисты.
Image courtesy of Michael J. Joyce, MD, and Hakan Ilaslan, MD.
По этим темам
