T1-взвешенная МРТ
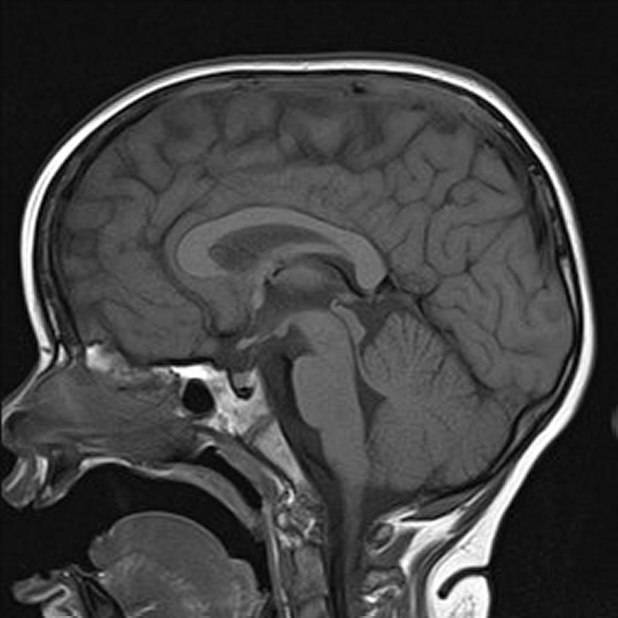
Сагиттальное Т1-взвешенное изображение головного мозга показывает, что срединные структуры без изменений.
Image courtesy of Hakan Ilaslan, MD.
По этим темам
Сагиттальное Т1-взвешенное изображение головного мозга показывает, что срединные структуры без изменений.
Image courtesy of Hakan Ilaslan, MD.