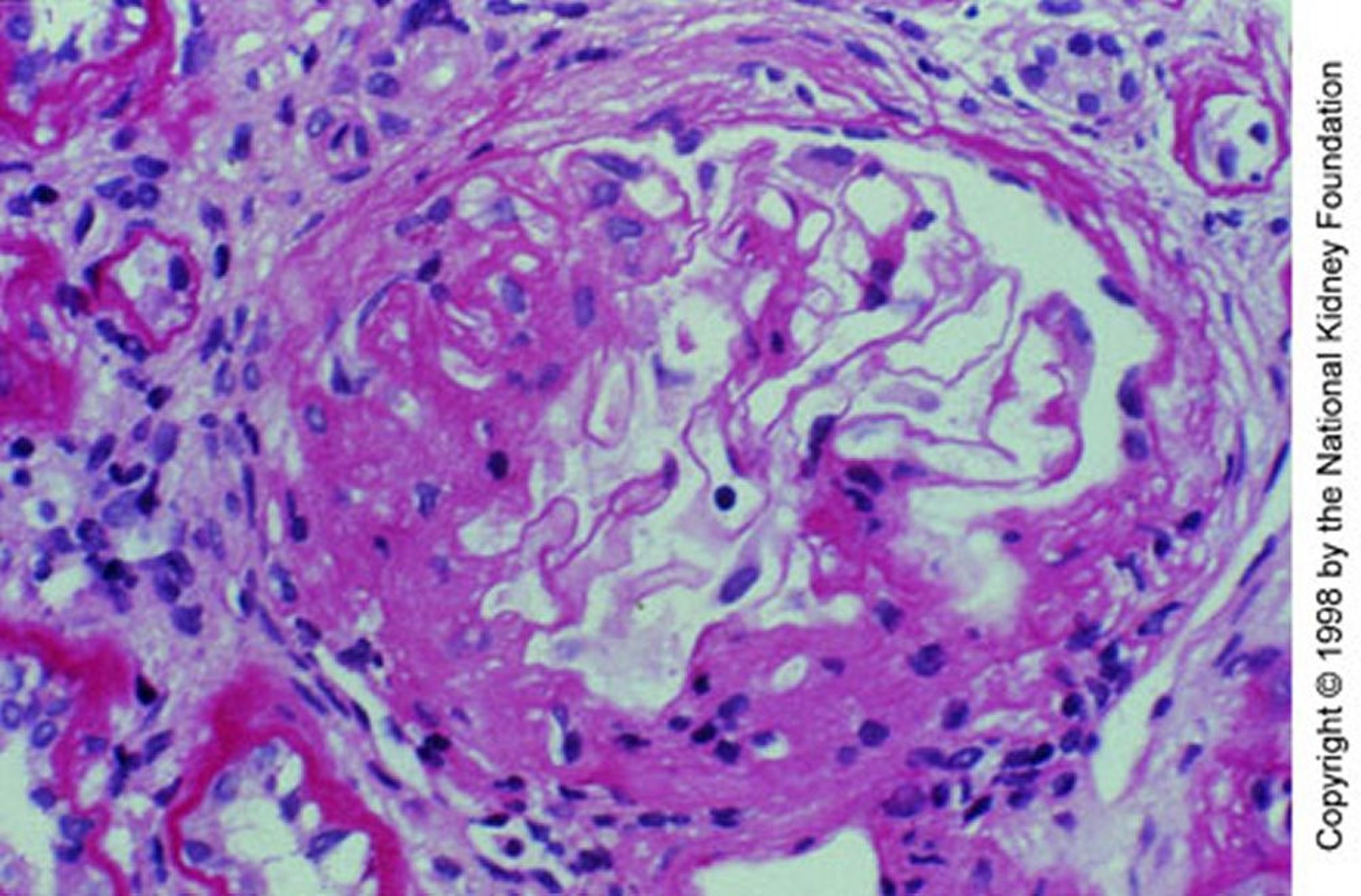
IgA-нефропатия (мезангиальная экспансия)
Мезангиальная экспансия при сегментарном склерозе (реактив Шиффа, ×200).
Image provided by Agnes Fogo, MD, and the American Journal of Kidney Diseases' Atlas of Renal Pathology (see www.ajkd.org).
По этим темам
