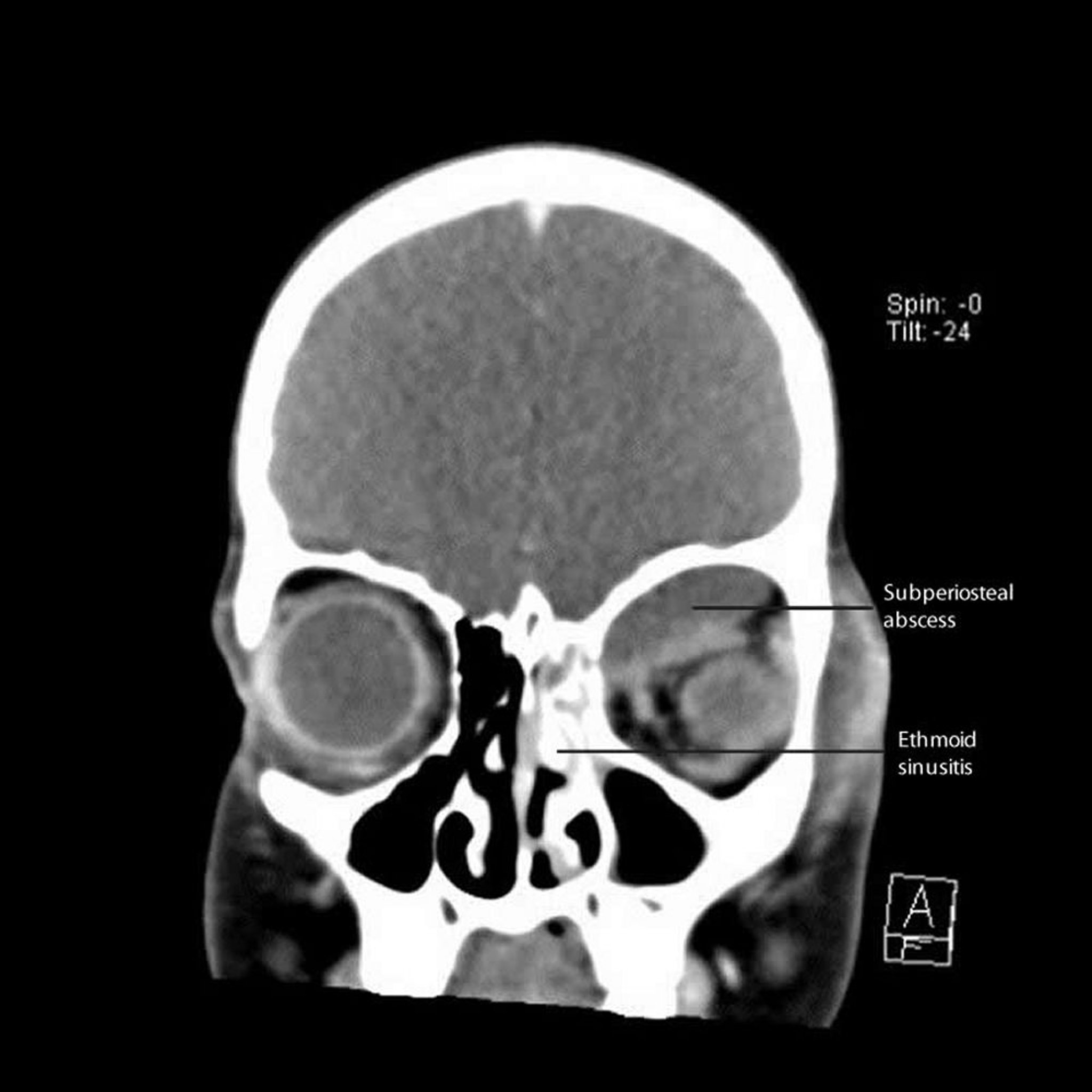
Этмоидальный синусит с субпериостальным абсцессом
На этом снимке компьютерной томографии показан левосторонний этмоидит с прилегающим субпериостальным абсцессом вдоль медиальной и верхней стенок орбиты.
CT courtesy of James Garrity, MD.
По этим темам
