Предоставлено Вамmsd logo
This site is not intended for use in the Russian Federation
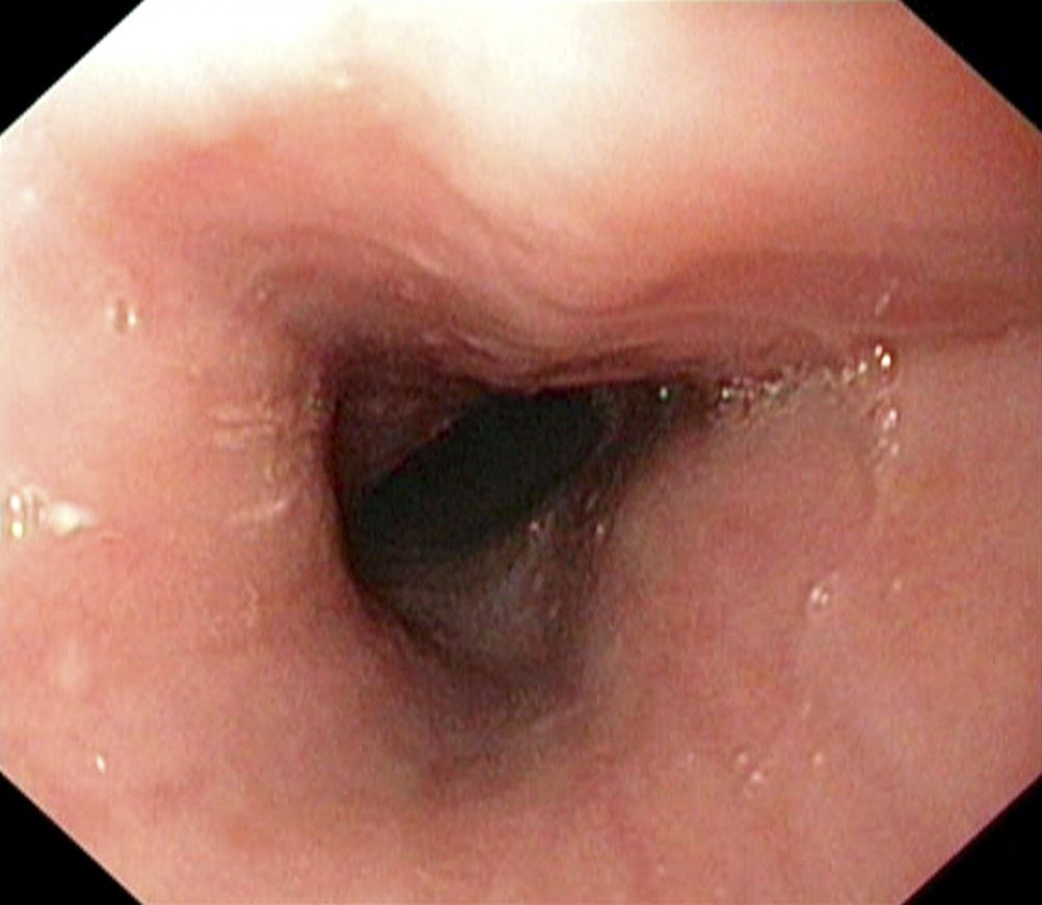
Эндоскопия (пищевод)

Эндоскопия (пищевод)

Эта фотография показывает эндоскопическую картину нормального пищевода.

GASTROLAB/SCIENCE PHOTO LIBRARY

По этим темам