Предоставлено Вамmsd logo
This site is not intended for use in the Russian Federation
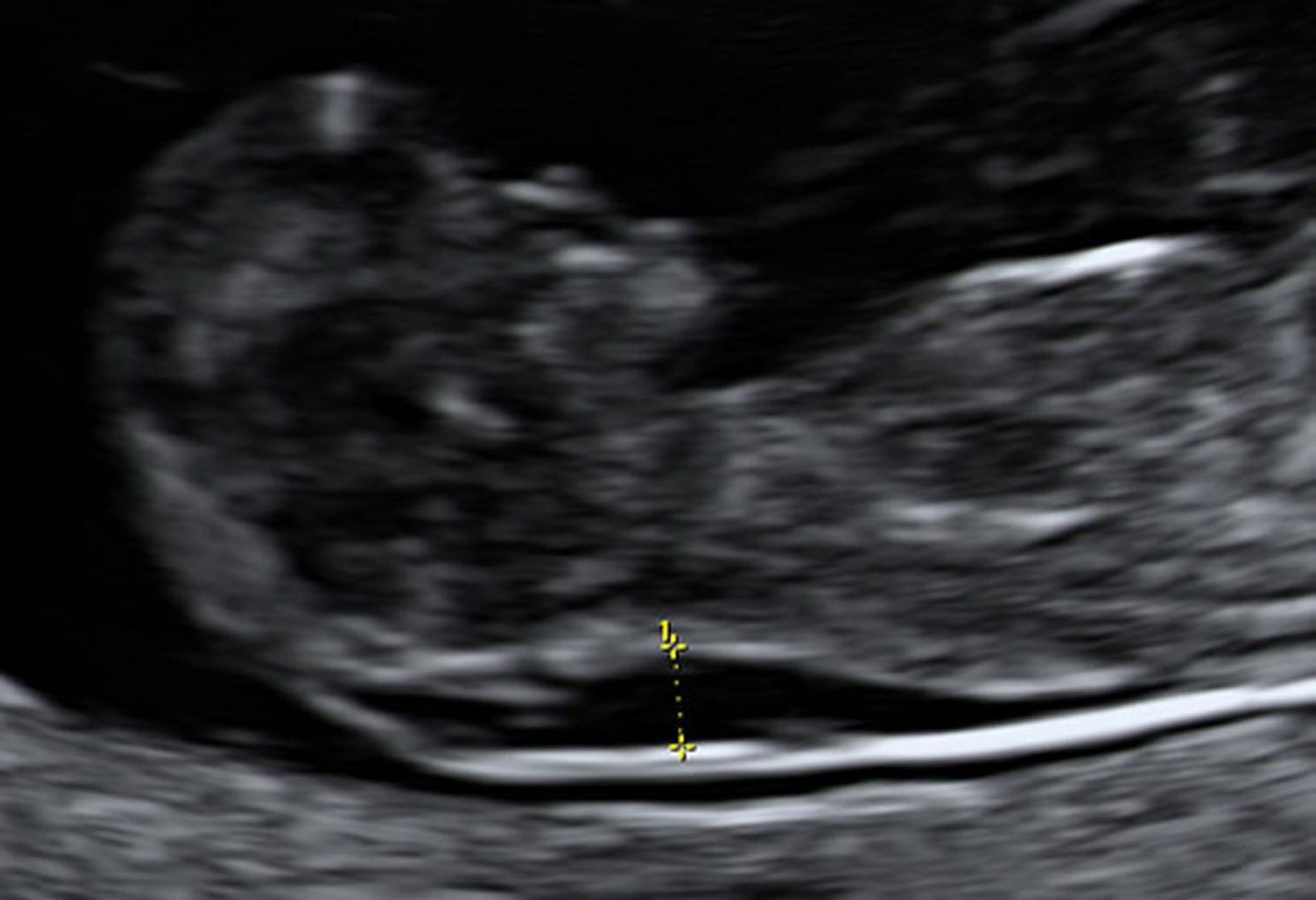
Ультразвуковое исследование показывает увеличение затылочной полупрозрачности плода на 10-й неделе

Ультразвуковое исследование показывает увеличение затылочной полупрозрачности плода на 10-й неделе

Биопсия ворсин хориона указала, что этот плод имел синдром Дауна.

Photo from Jeffrey S. Dungan, MD.