УЗИ доброкачественных опухолевидных образований яичников
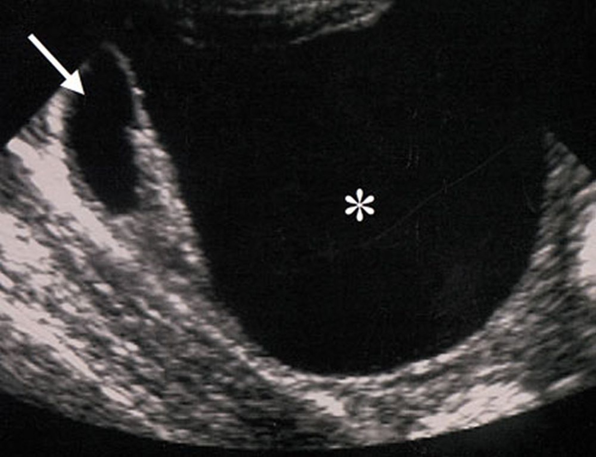
Ультразвуковые характеристики опухолевидных образований яичников (отмечены звездочкой), указывают на их доброкачественность. Образование анэхогенное (что говорит об отсутствии твердотелых элементов), правильной формы, с четкими краями, без утолщения стенок или патологических разрастаний.
By permission of the publisher. From Hricak H, Coakley F, Bergman A. In Atlas of Cancer. Edited by M Markman, RR Barakat, and WJ Hoskins. Philadelphia, Current Medicine, 2002.
По этим темам
