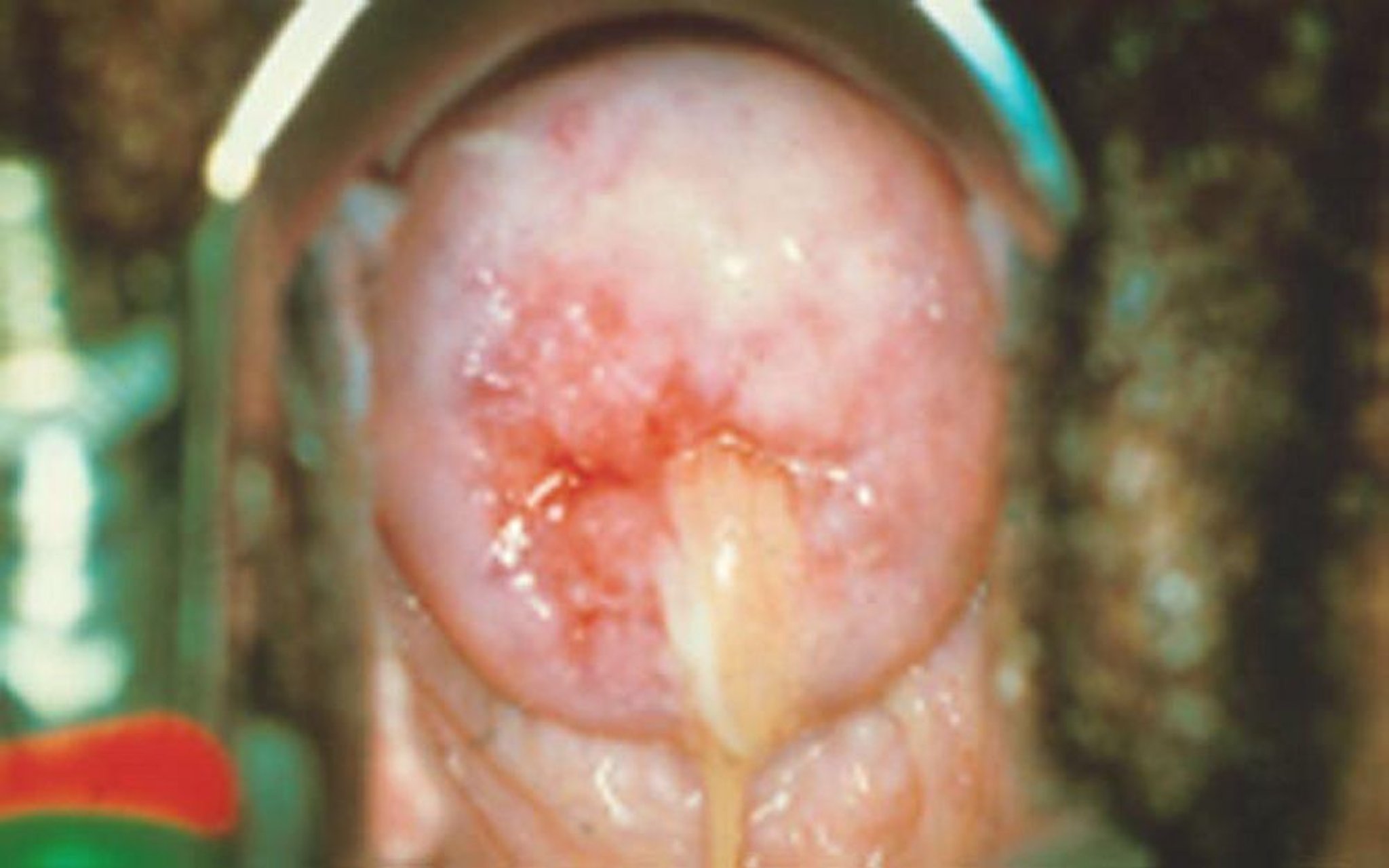
Слизисто-гнойный цервицит
Шейка матки красного цвета и воспалена, а также присутствуют густые желтые выделения.
By permission of the publisher. Из Goldfarb A. In Atlas of Clinical Gynecology: Pediatric and Adolescent Gynecology. Edited by M Stenchever (series editor) and AF Goldfarb. Philadelphia, Current Medicine, 1998.
По этим темам
