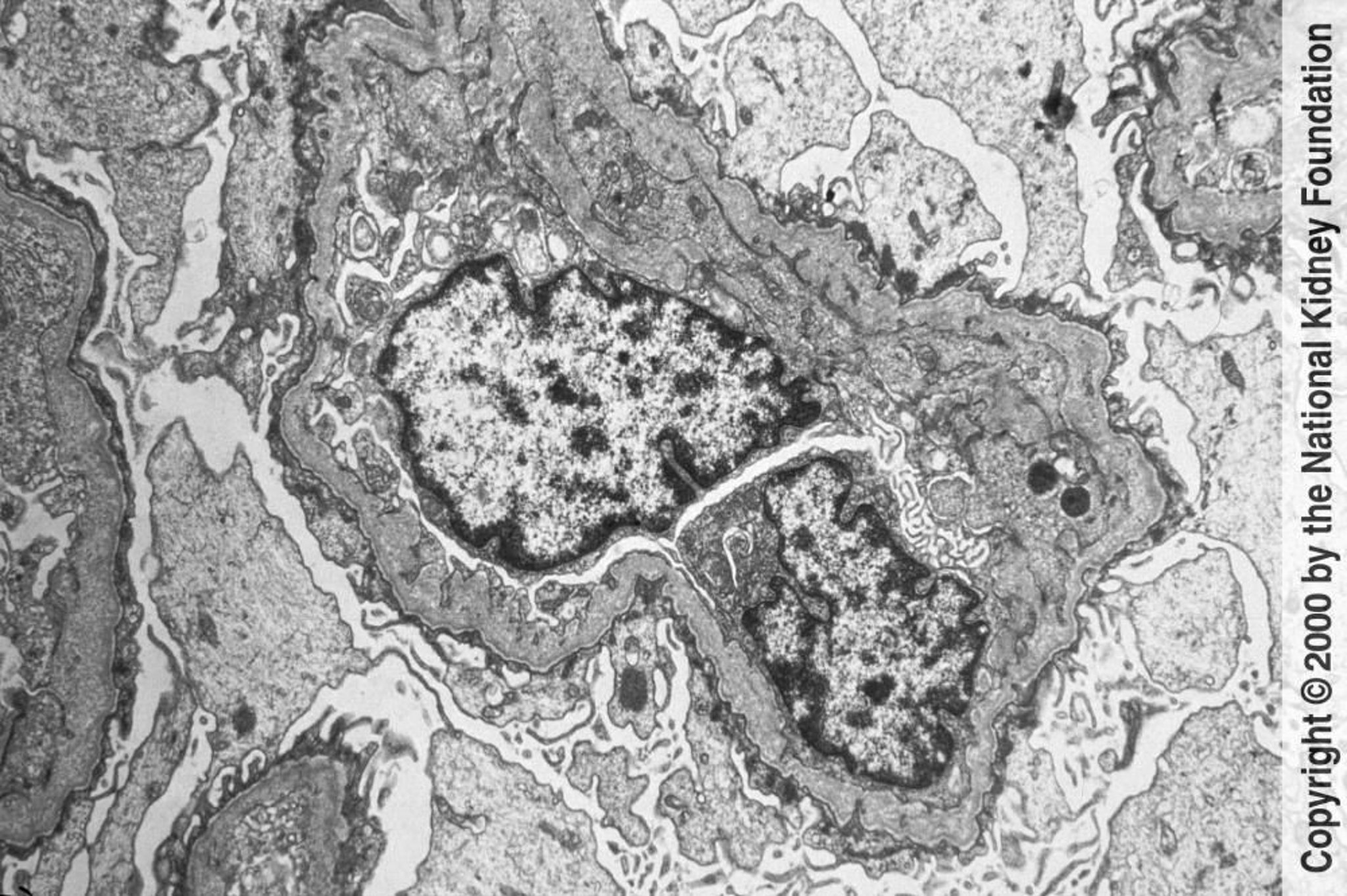
Синдром Альпорта (наследственный нефрит)
В просвечивающем электронном микроскопе видны неравномерные истончение и утолщение гломерулярной базальной мембраны с расщеплением темной пластинки (lamina densa) на волокна, образующие сеть наподобие корзины. Изменения вызваны травмой и ремоделированием (×6000).
Image provided by Agnes Fogo, MD, and the American Journal of Kidney Diseases' Atlas of Renal Pathology (see www.ajkd.org).
По этим темам
