Рентгенография у ребенка с крупом (корональная проекция)
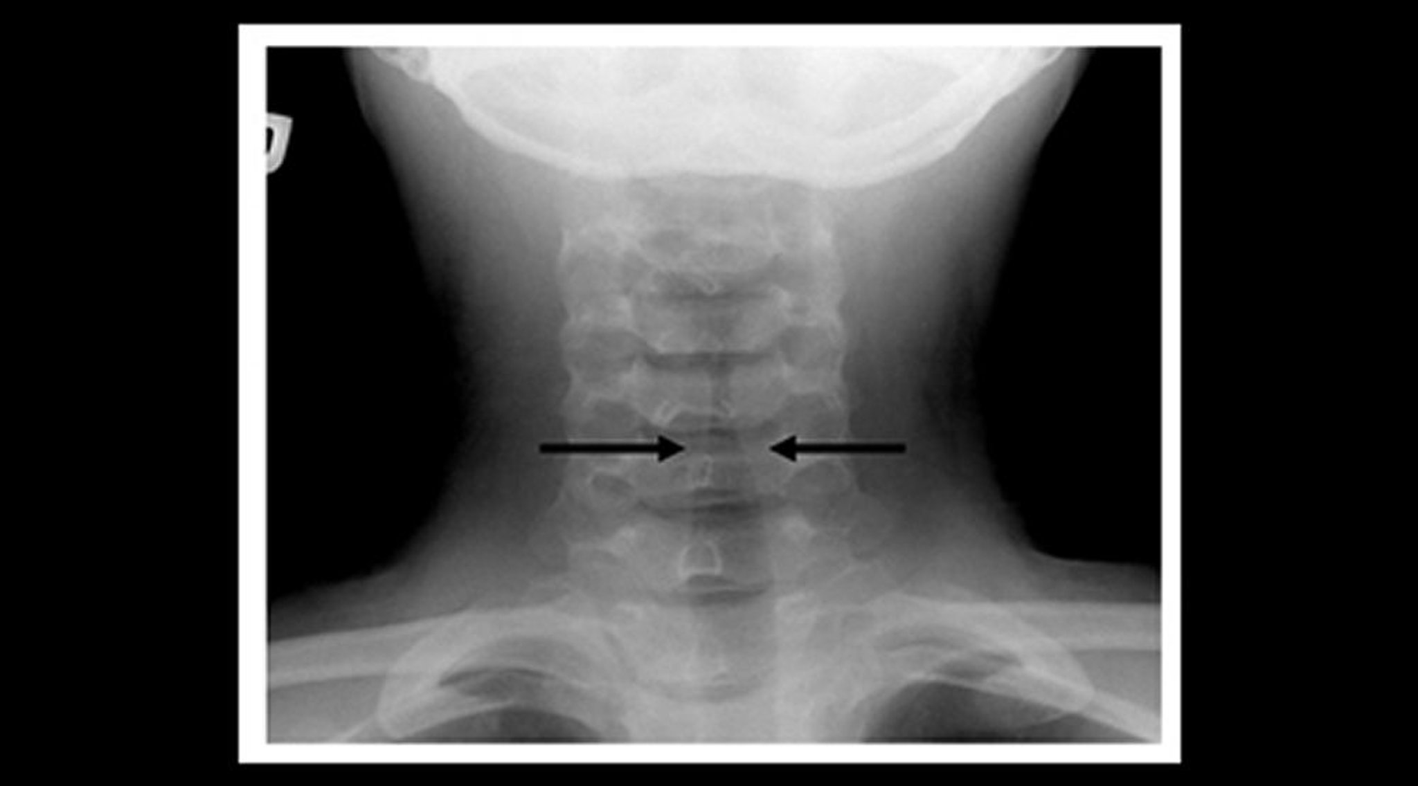
При рентгенологическом исследовании мягких тканей шеи у ребенка с крупом выявлено постепенное сужение эндотрахеальной трубки ниже складок голосовой щели (симптом "шпиля"– обозначен стрелкой) и расширение фарингальных просветов.
Image courtesy of John McBride, MD.
По этим темам
