Рентгенограмма при переломе сесамовидной кости
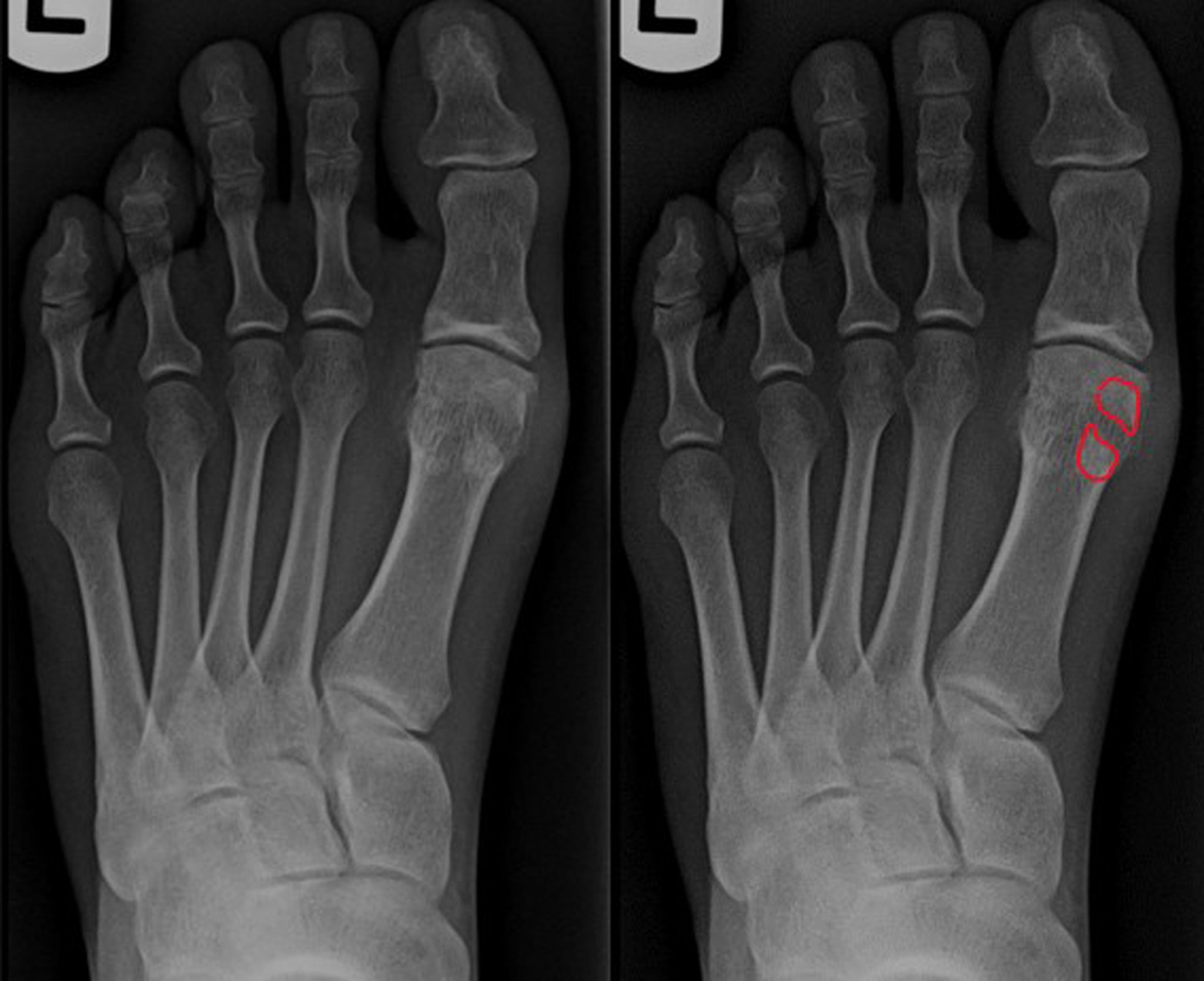
Переднезадняя проекция левой стопы показывает перелом сесамовидной кости. Обратите внимание на увеличенное расхождение отломков кости между фрагментами перелома и неровными линиями перелома на выделенном изображении. Дифференциация двудольной сесамовидной кости важна для обеспечения надлежащей медицинской помощи.
Image courtesy of James C. Connors, DPM.
По этим темам
