Расслоение брюшной аорты
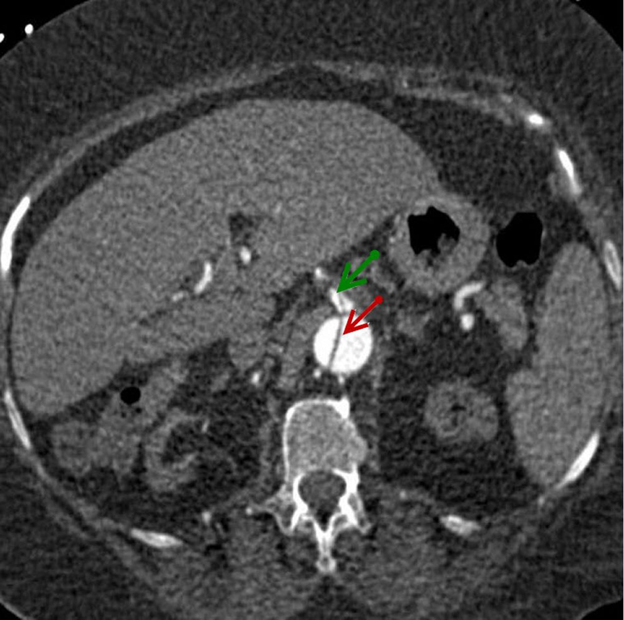
Осевое изображение диссекционного лоскута в нисходящей брюшной аорте (красная стрелка), распространяющегося на верхнюю брыжеечную артерию (зеленая стрелка).
© 2017 Elliot K. Fishman, MD.
По этим темам
Осевое изображение диссекционного лоскута в нисходящей брюшной аорте (красная стрелка), распространяющегося на верхнюю брыжеечную артерию (зеленая стрелка).
© 2017 Elliot K. Fishman, MD.