Рак шейки матки
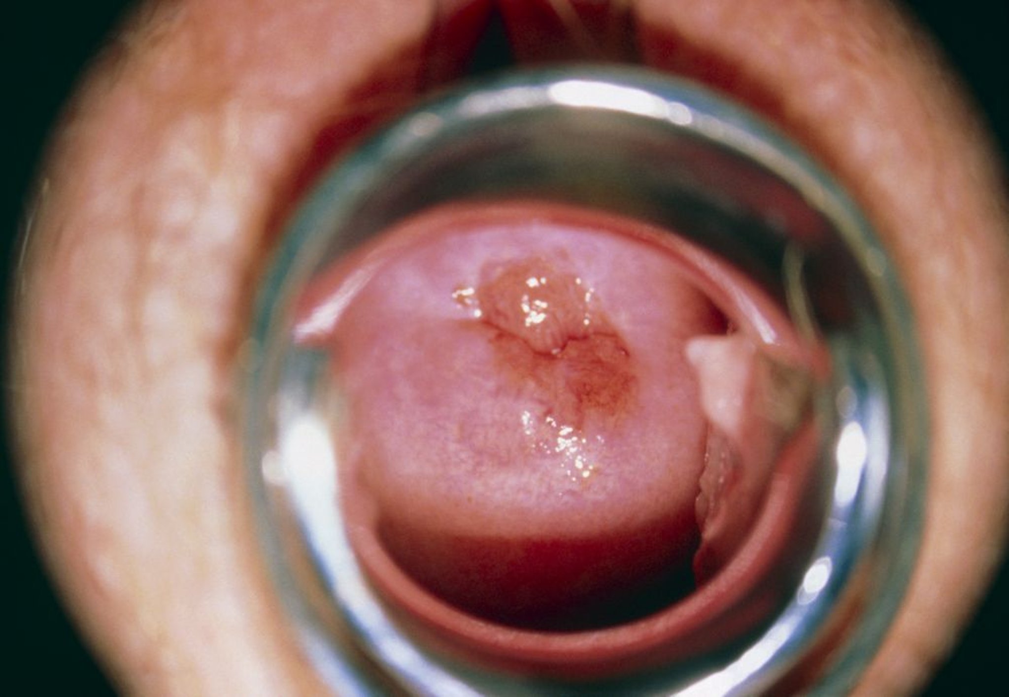
Кольпоскопия шейки матки (в центре) у пациента с цервикальной интраэпителиальной неоплазией (ЦИН) 1. В центре ─ пораженная предраковая область, слегка опухшая, с бесцветным участком вокруг цервикального отверстия.
SCIENCE PHOTO LIBRARY
По этим темам
