Предоставлено Вамmsd logo
This site is not intended for use in the Russian Federation
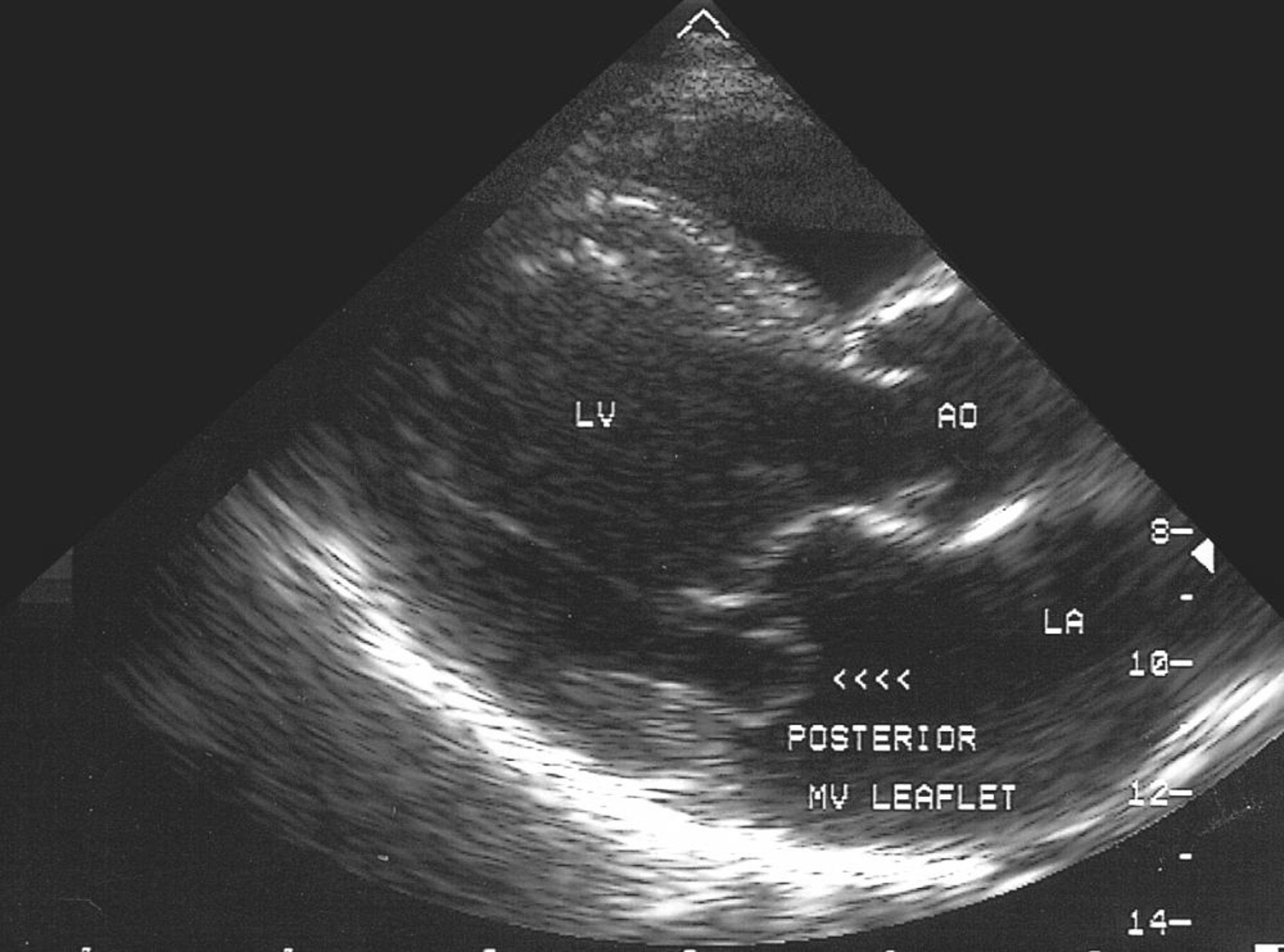
Пролапс митрального клапана (Эхокардиограмма)

Пролапс митрального клапана (Эхокардиограмма)

Это эхокардиографическое изображение показывает пролапс задней створки митрального клапана в левое предсердие (LA).

© Springer Science+Business Media