Поражение кожи (пустулы)
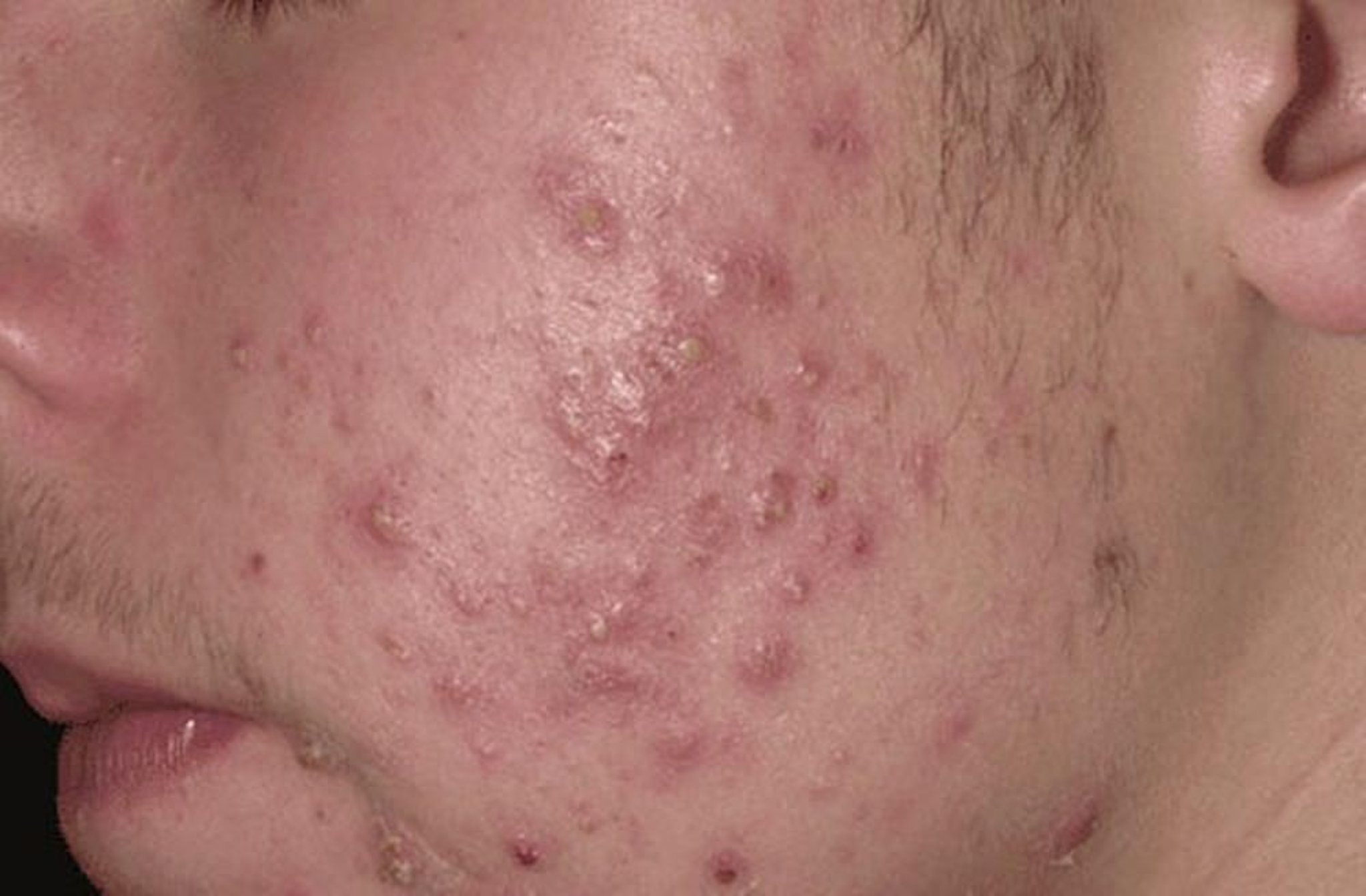
Пустулы – это объемные поражения, покрытые обычно желтоватой пленкой, содержащие гной. Рассеянные пустулы на лице человека с акне.
Фото предоставлено доктором Томасом Хабифом (Thomas Habif, MD).
По этим темам
Пустулы – это объемные поражения, покрытые обычно желтоватой пленкой, содержащие гной. Рассеянные пустулы на лице человека с акне.
Фото предоставлено доктором Томасом Хабифом (Thomas Habif, MD).