Пневмокониоз
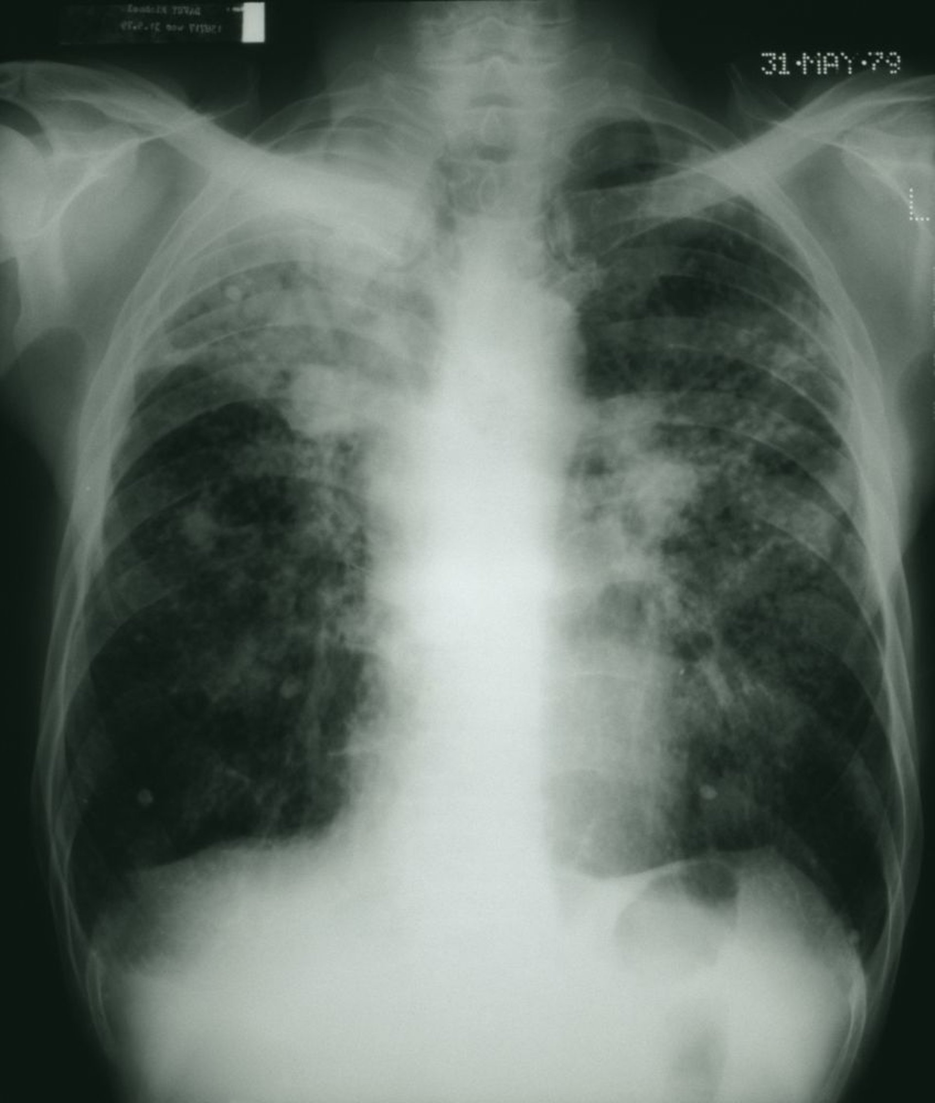
Темные легочные поля имеют неравномерный рисунок с вкраплениями белых волокнистых масс, что соответствует прогрессирующему пневмокониозу работников угольной промышленности.
STEVE ALLEN/SCIENCE PHOTO LIBRARY
По этим темам
Темные легочные поля имеют неравномерный рисунок с вкраплениями белых волокнистых масс, что соответствует прогрессирующему пневмокониозу работников угольной промышленности.
STEVE ALLEN/SCIENCE PHOTO LIBRARY