Перелом средней трети бедренной кости (1)
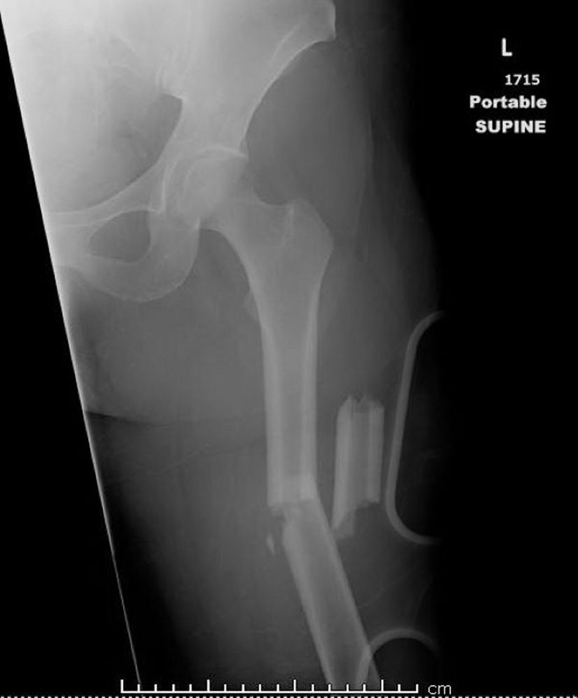
На этом изображении показан оскольчатый, угловой перелом средней части диафиза бедренной кости с укорочением.
Image courtesy of Danielle Campagne, MD.
На этом изображении показан оскольчатый, угловой перелом средней части диафиза бедренной кости с укорочением.
Image courtesy of Danielle Campagne, MD.