Перелом латеральной лодыжки
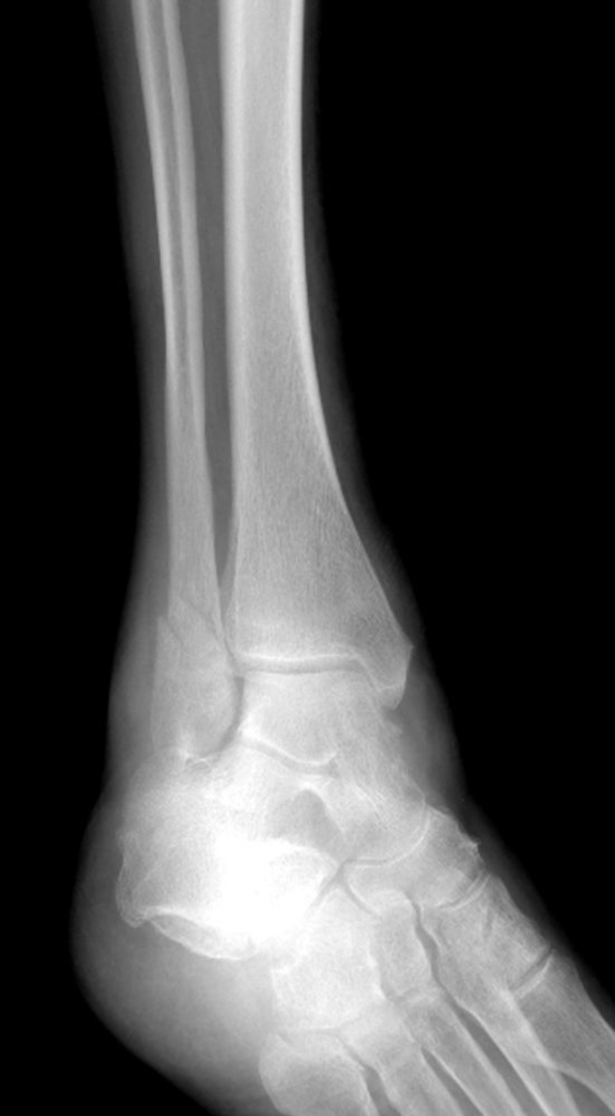
Это перелом латеральной лодыжки, но сочетанный с переломом медиальной лодыжки.
LIVING ART ENTERPRISES, LLC/SCIENCE PHOTO LIBRARY
По этим темам
Это перелом латеральной лодыжки, но сочетанный с переломом медиальной лодыжки.
LIVING ART ENTERPRISES, LLC/SCIENCE PHOTO LIBRARY