Перелом возвышения запястья
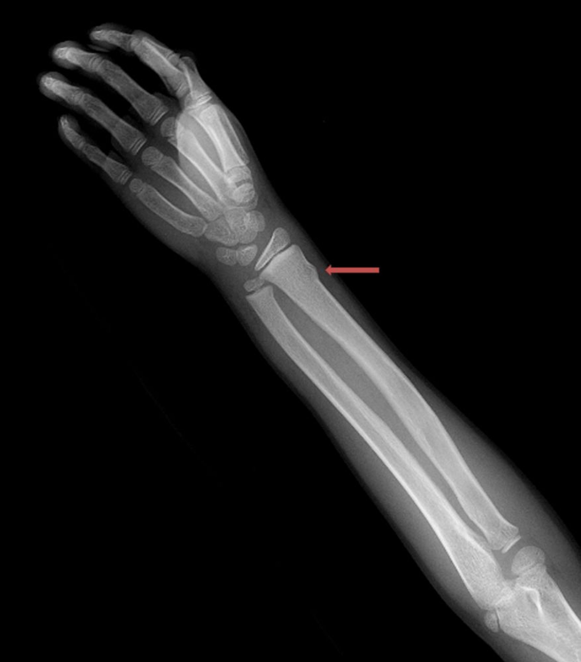
Этот компрессионные веретенообразный перелом дистального отдела лучевой кости проявляется только в виде незначительного нарушения коркового вещества кости.
LIVING ART ENTERPRISES, LLC/SCIENCE PHOTO LIBRARY
По этим темам
Этот компрессионные веретенообразный перелом дистального отдела лучевой кости проявляется только в виде незначительного нарушения коркового вещества кости.
LIVING ART ENTERPRISES, LLC/SCIENCE PHOTO LIBRARY