Пародонтит
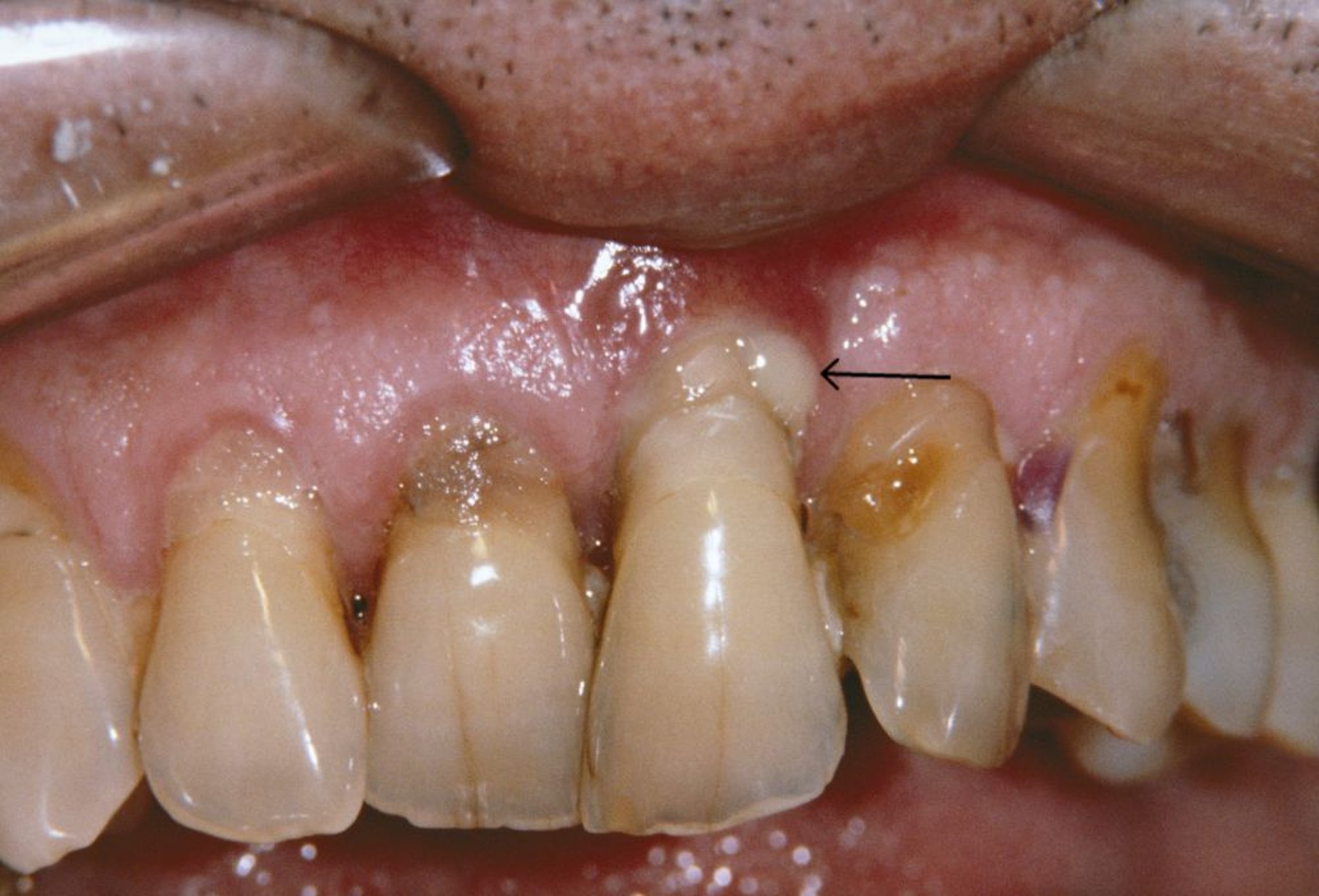
На этом фото показана рецессия десен и пародонтальный абсцесс (стрелка) у пациента с пародонтитом.
CNRI/SCIENCE PHOTO LIBRARY
По этим темам
На этом фото показана рецессия десен и пародонтальный абсцесс (стрелка) у пациента с пародонтитом.
CNRI/SCIENCE PHOTO LIBRARY