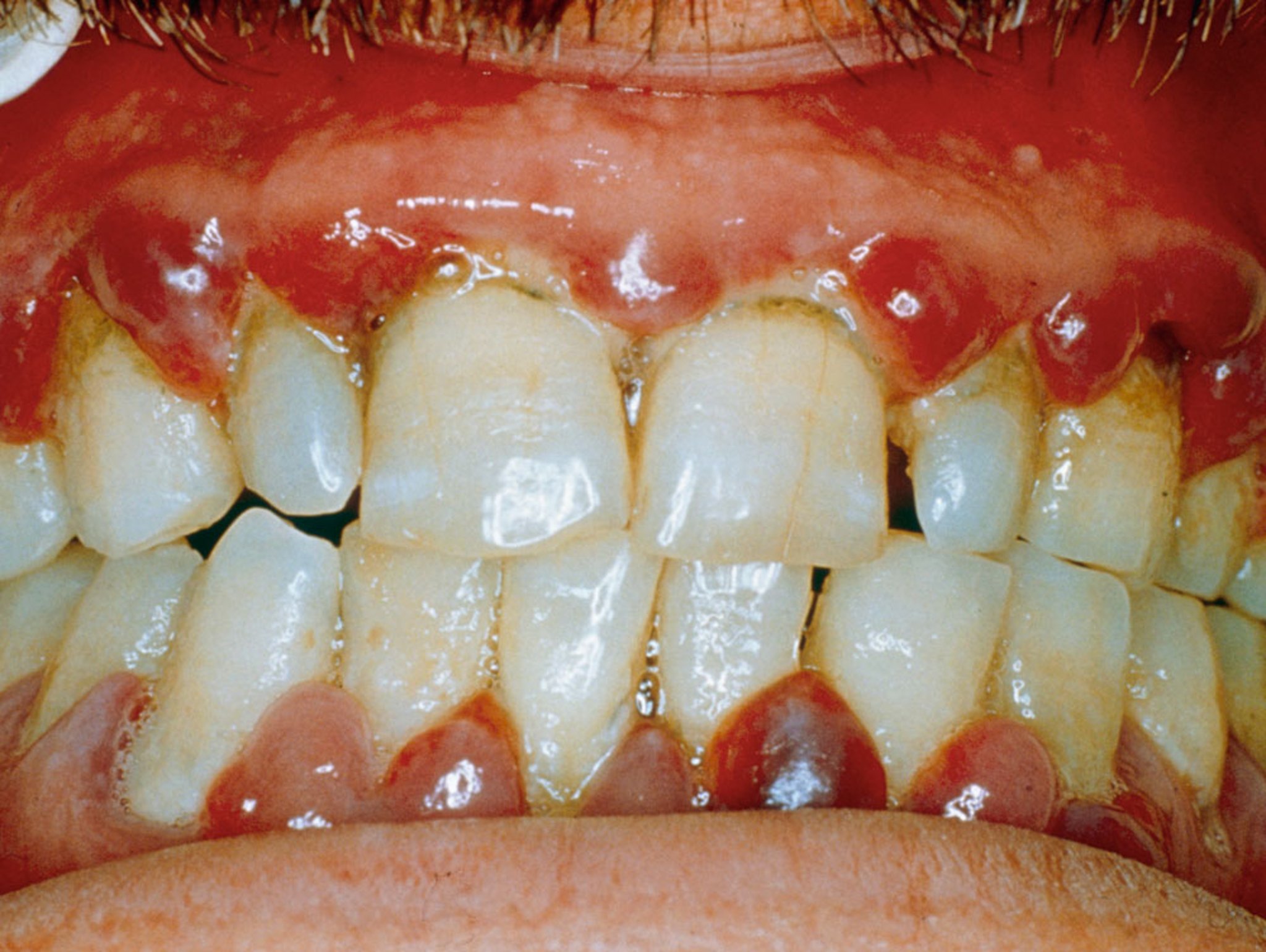
Отечность, воспаление десен при цинге
На этой фотографии изображена отечная фиолетовая десна у пациента с цингой.
BIOPHOTO ASSOCIATES/SCIENCE PHOTO LIBRARY
По этим темам
На этой фотографии изображена отечная фиолетовая десна у пациента с цингой.
BIOPHOTO ASSOCIATES/SCIENCE PHOTO LIBRARY