Острый тонзиллит
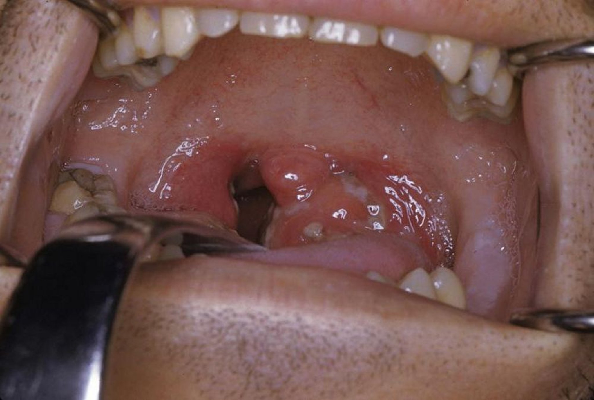
На данной фотографии показан острый тонзиллит с экссудатом и эритемой.
Фото предоставлено г-ном Кларенсом Т. (Clarence T.). Sasaki, MD.
По этим темам
На данной фотографии показан острый тонзиллит с экссудатом и эритемой.
Фото предоставлено г-ном Кларенсом Т. (Clarence T.). Sasaki, MD.