Острый аппендицит
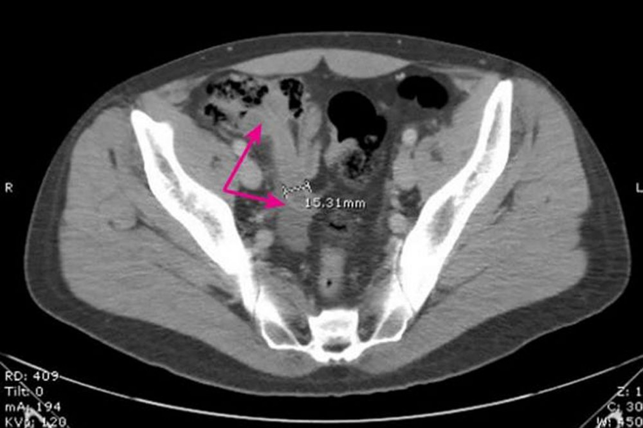
На этом изображении показан расширенный толстостенный аппендикс (стрелки) диаметром 15.31 мм с окружающими воспалительными изменениями.
Image provided by Parswa Ansari, MD.
По этим темам
На этом изображении показан расширенный толстостенный аппендикс (стрелки) диаметром 15.31 мм с окружающими воспалительными изменениями.
Image provided by Parswa Ansari, MD.