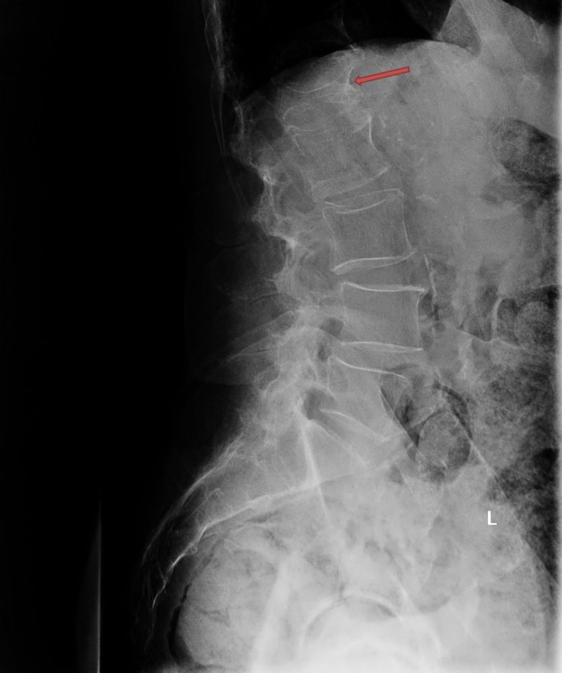
Остеопорозный компрессионный перелом
На данном рентгеновском снимке показан тяжелый остеопорозный компрессионный перелом первого поясничного позвонка (L1; стрелка).
Photo courtesy of Marcy B. Bolster, MD.
По этим темам
На данном рентгеновском снимке показан тяжелый остеопорозный компрессионный перелом первого поясничного позвонка (L1; стрелка).
Photo courtesy of Marcy B. Bolster, MD.