Остеопойкилоз таза
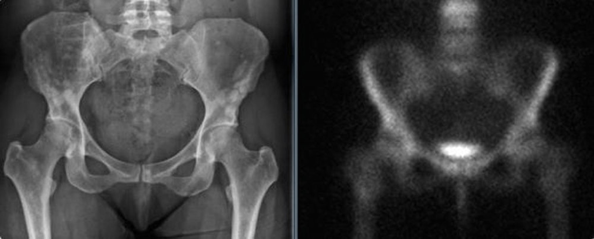
На рентгенограмме таза (слева) виден остеопойкилоз таза у взрослой женщины. Эти уплотнения могут быть ошибочно приняты за бластические метастазы. Сканирование костей (справа) не показывает значительного повышенного захвата.
Images courtesy of Michael J. Joyce, MD, and David M. Joyce, MD.
По этим темам
