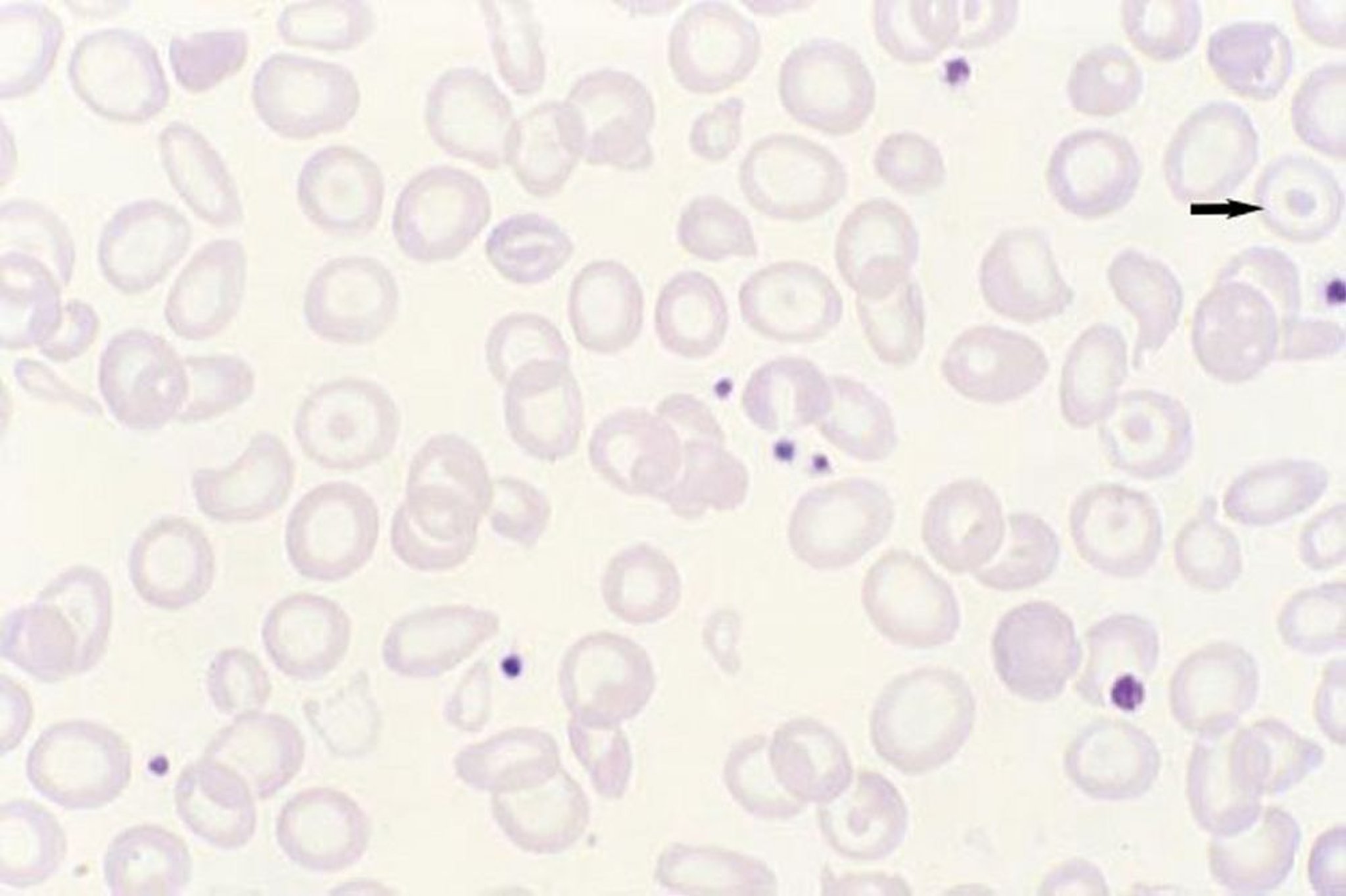
Мишеневидные клетки
Клетки-мишени (тонкие эритроциты с центральной точкой гемоглобина; стрелка), характерные для талассемии и других гемоглобинопатий (например, при болезни гемоглобина С и болезни гемоглобина S-C), возникают из-за дисбаланса между объемом клетки и содержанием гемоглобина, но кроме того наблюдаются после спленэктомии и при заболевании печени.
By permission of the publisher. From Tefferi A, Li C. In Atlas of Clinical Hematology. Edited by JO Armitage. Philadelphia, Current Medicine, 2004.
По этим темам
