Миозит с включенными тельцами
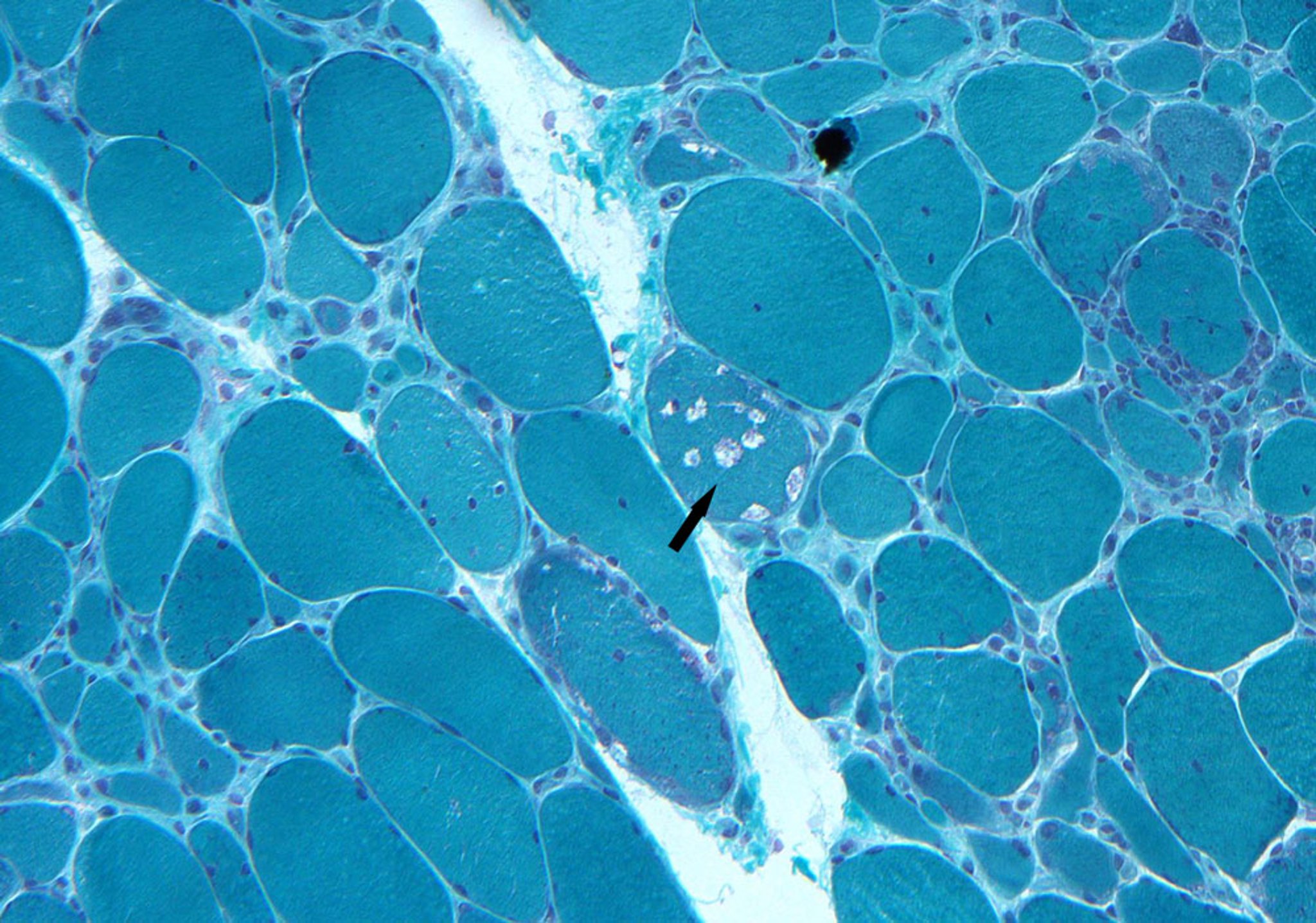
На данном образце биопсии показаны инфильтраты в эндомизии, дегенерация миофибрилл и вакуоли в оправе (стрелка).
Photo courtesy of Kinanah Yaseen, MD.
По этим темам
На данном образце биопсии показаны инфильтраты в эндомизии, дегенерация миофибрилл и вакуоли в оправе (стрелка).
Photo courtesy of Kinanah Yaseen, MD.