Мембранопролиферативный гломерулонефрит, опосредованный комплементом
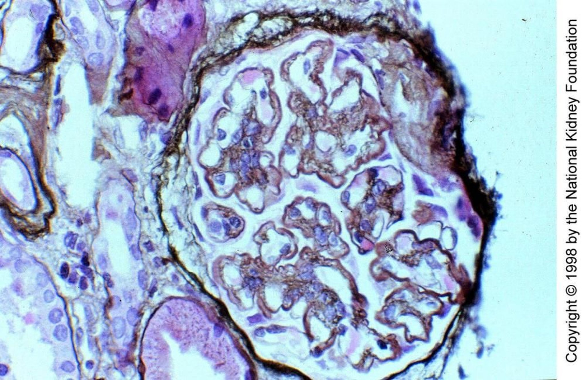
При мембранозно-пролиферативном гломерулонефрите, опосредованном комплиментом (МПГН) II типа, C3-нефритогенном факторе, аутоиммунное антитело IgG, которое функционирует подобно пропердину, непосредственно расщепляя C3 до С3b, активирует комплемент через альтернативный путь в пределах стенок гломерулярных капилляров и мезангия. Отложения С3 частично замещают компоненты темной пластинки базальной мембраны, утолщая ее и придавая характерный вид «связки колбасы» (импрегнация солями серебра по Джонсу, ×400).
Image provided by Agnes Fogo, MD, and the American Journal of Kidney Diseases' Atlas of Renal Pathology (see www.ajkd.org).
По этим темам
